症例詳細
Case detail
変色した前歯 オールセラミッククラウンにより審美歯科治療
治療症例の内容
- 診療科目
- 治療カテゴリ
- 担当医
- 藤巻太一朗(ドクタープロフィール)
- 患者様
- 30代女性
- 治療期間
- 2ヶ月
- 治療回数
- 2-5回
- 治療計画
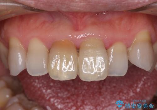
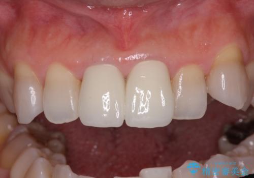
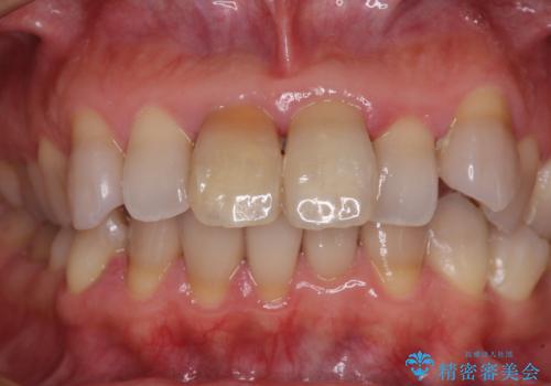
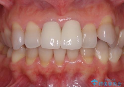
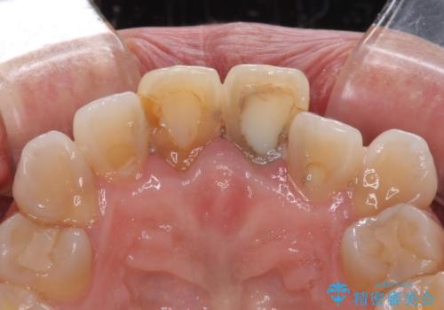
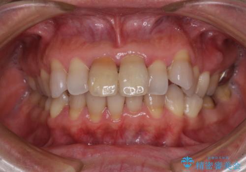
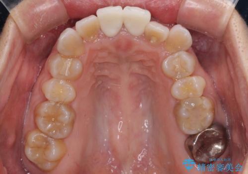
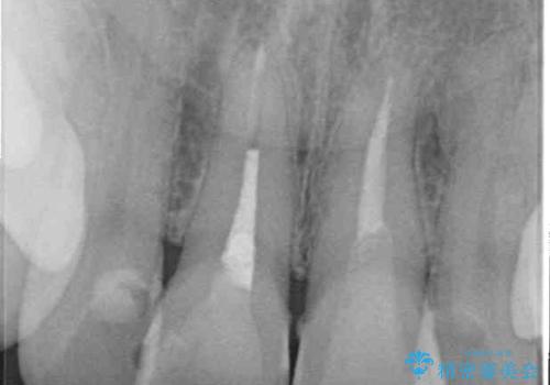
- 変色した前歯2本を気にして来院された患者様です。
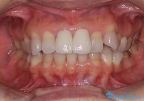
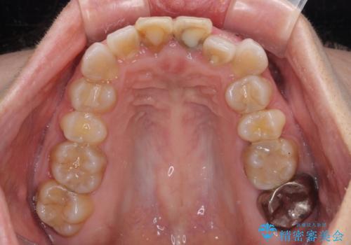
右側の前歯は根管治療を行い、その後2本とも歯質に近い素材の土台を植立してオールセラミッククラウンにて補綴することとしました。
- 費用(概算)
- 治療費の目安: 33万円費用は治療当時の料金となります
治療について
神経を取り除いた歯は、経年劣化により変色してしまいます。
前歯は審美的に、奥歯は強度的に問題が起きるため、早めにクラウンを装着することが望ましいとされています。
セラミック治療の注意事項(リスク・副作用など)
- 天然歯を削ります
- 硬い素材は天然歯を傷つけてしまう場合があります
- かみ合わせや歯ぎしりが強すぎる方はセラミックが割れてしまう可能性があります
- 自費診療(保険適用外治療)となります
当サイトの内容、テキスト、画像等の無断転載、複製、複写、盗用を固く禁じます。














