症例詳細
Case detail
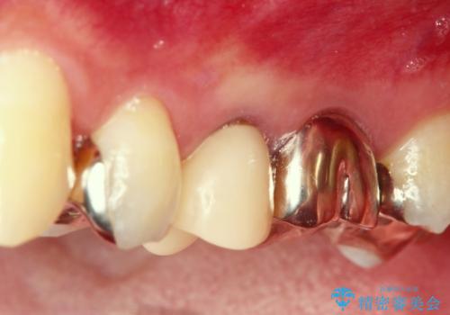
セラミックインレーと根管治療を伴うセラミッククラウン
治療症例の内容
- 担当医
- 大元洋佑(ドクタープロフィール)
- 患者様
- 30代男性
- 治療期間
- 2ヶ月
- 治療回数
- 2-5回
- 治療計画
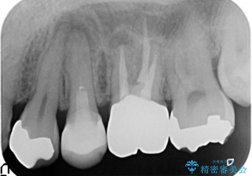
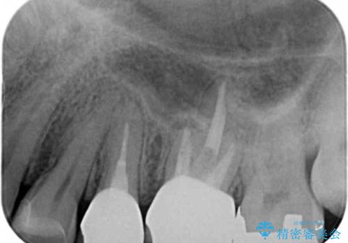
- 根管治療の難易度が高く他院で放置か抜歯を提案され、治療をご希望され当院へと来院されました。
X線写真より大きな根尖病変が認められ根管治療および補綴処置、手前の歯は虫歯の再発による銀歯のやりかえが必要な状態です。
- 費用(概算)
- 33万円(税別)費用は治療当時の料金となります
難易度の高い治療について
根管が非常に細くアプローチが難しいような場合、マイクロスコープを用いた精密根管治療を行うことで治療を成功へと導くことができる場合があります。
※マイクロスコープを用いた精密根管治療は自費治療になります
根管治療の注意事項(リスク・副作用など)
- 根管治療により類似の全ての症例の問題が解決するわけではなく、症例はあくまでも一例です
- 根管治療により痛みや腫れがひかない事や、術後に痛みや腫れが生じる事、治療によるファイル破折やパーフォレーションなどの偶発症、術後の歯根破折を生じる可能性もあります
- 自費診療(保険適用外)となります
セラミック治療の注意事項(リスク・副作用など)
- 天然歯を削ります
- 硬い素材は天然歯を傷つけてしまう場合があります
- かみ合わせや歯ぎしりが強すぎる方はセラミックが割れてしまう可能性があります
- 自費診療(保険適用外治療)となります
当サイトの内容、テキスト、画像等の無断転載、複製、複写、盗用を固く禁じます。






