症例詳細
Case detail
インプラント治療で達成するしっかりと食事できる噛み合わせ
- 患者様
- 40代女性
- 治療期間
- 1年6ヶ月
- 治療回数
- 5-10回
- 治療計画
- これまで悪くなっては歯医者に通い、その都度治療を受けてきたがどんどん悪くなる痛くてしっかりと噛めない、これを機にしっかりと噛めるような治療を受けたいと希望され来院されました。
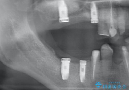
保存不可能な歯の抜歯→インプラント治療、根管治療、精密なセラミッククラウンの製作を行い長期的に安定し、審美的で機能的な治療を計画します。
- 費用(概算)
- 150万円(税別)費用は治療当時の料金となります
治療について
歯が悪くなるたびにその都度治療を行うと、付け焼き刃の治療となりやすくまた横の歯が悪くなってしまった場合に再治療が必要となったり延々と治療が続くことがしばしばです。
隣接する歯や、残すことのできない歯をインプラントにしっかりと置き替えていくことで安心して長期にしっかりと噛める口腔内環境を達成することができます。
セラミック治療の注意事項(リスク・副作用など)
- 天然歯を削ります
- 硬い素材は天然歯を傷つけてしまう場合があります
- かみ合わせや歯ぎしりが強すぎる方はセラミックが割れてしまう可能性があります
- 自費診療(保険適用外治療)となります
インプラント治療の注意事項(リスク・副作用など)
- 外科手術のため、術後に痛みや腫れ、違和感を伴います
- メンテナンスを怠ったり喫煙により、お口の中に大きな悪影響を及ぼすインプラント周囲炎等にかかる可能性があります
- 糖尿病、肝硬変、心臓病等の場合、インプラント治療ができない可能性があります
- 高血圧、貧血・不整脈等の場合、インプラント治療後に治癒不全を招く可能性があります
- 自費診療(保険適用外治療)となります
当サイトの内容、テキスト、画像等の無断転載、複製、複写、盗用を固く禁じます。






