症例詳細
Case detail
前歯が折れた 前歯部審美セラミックブリッジ治療
治療症例の内容
- 診療科目
- 治療カテゴリ
- 担当医
- 大元洋佑(ドクタープロフィール)
- 患者様
- 50代女性
- 治療期間
- 7ヶ月
- 治療回数
- 2-5回
- 治療計画
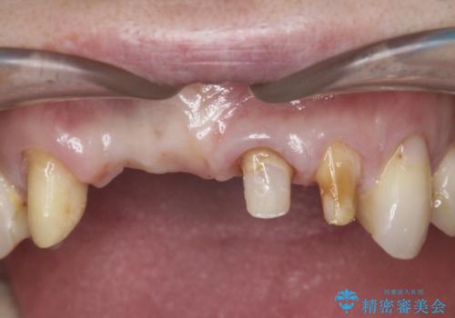
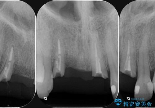
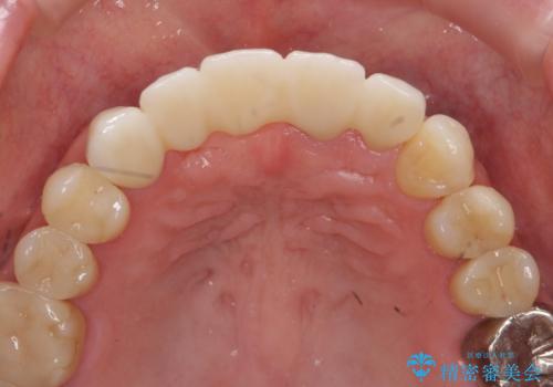
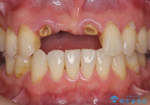
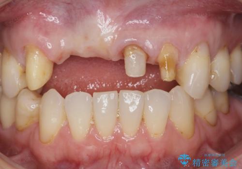
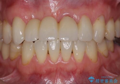
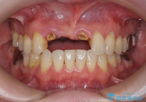
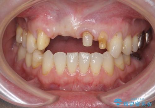
- ブリッジの根元が折れ、審美性の改善・治療を求めて来院されました。
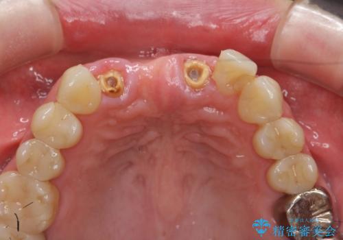
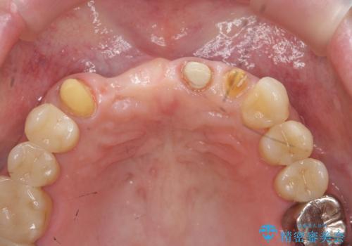
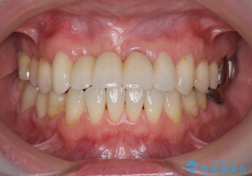
保存の難しい歯を抜去しロングブリッジによる補綴を選択しました。
- 費用(概算)
- 57万円(仮歯・ファイバーコア・ジルコニアクラウン×5)費用は治療当時の料金となります
前歯の補綴治療について
かみ合わせの観点からインプラント治療は難しく、入れ歯も希望されなかったためブリッジによる補綴を選択しました。
セラミック治療の注意事項(リスク・副作用など)
- 天然歯を削ります
- 硬い素材は天然歯を傷つけてしまう場合があります
- かみ合わせや歯ぎしりが強すぎる方はセラミックが割れてしまう可能性があります
- 自費診療(保険適用外治療)となります
当サイトの内容、テキスト、画像等の無断転載、複製、複写、盗用を固く禁じます。















