症例詳細
Case detail
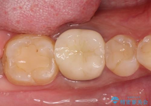
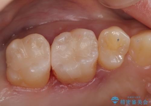
奥歯が痛い オールセラミッククラウン
治療症例の内容
- 診療科目
- 治療カテゴリ
- 担当医
- 河口智英(ドクタープロフィール)
- 患者様
- 30代女性
- 治療期間
- 10ヶ月
- 治療回数
- 5-10回
- 治療計画
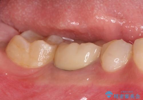
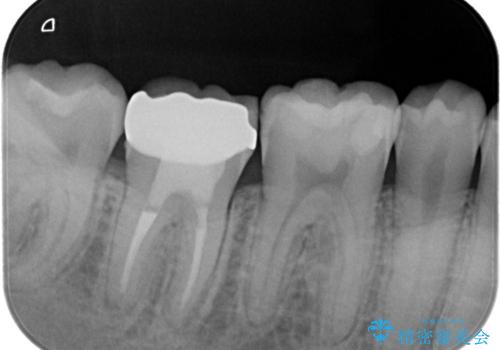
- 奥歯がズーンと痛いことを主訴に来院されました。
根管治療時に穿孔部位を認め、MTAにて修復し、分岐部の歯周ポケットおよび骨欠損に対しては、再生治療を行うことで、正常な歯周状態の獲得ができました。
歯冠修復はオールセラミッククラウンで行なっております。
- 費用(概算)
- 30万円費用は治療当時の料金となります
治療について
今回の症例のように問題点が多い場合は治療期間がかかります。
セラミック治療の注意事項(リスク・副作用など)
- 天然歯を削ります
- 硬い素材は天然歯を傷つけてしまう場合があります
- かみ合わせや歯ぎしりが強すぎる方はセラミックが割れてしまう可能性があります
- 自費診療(保険適用外治療)となります
根管治療の注意事項(リスク・副作用など)
- 根管治療により類似の全ての症例の問題が解決するわけではなく、症例はあくまでも一例です
- 根管治療により痛みや腫れがひかない事や、術後に痛みや腫れが生じる事、治療によるファイル破折やパーフォレーションなどの偶発症、術後の歯根破折を生じる可能性もあります
- 自費診療(保険適用外)となります
歯周病治療の注意事項(リスク・副作用など)
- 外科手術のため、術後に痛みや腫れ、違和感を伴います
- 歯周組織再生治療は患者様の状態によって術後の経過が異なります(見た目が改善しない場合もあります)
- 歯周組織再生治療は自費診療(保険適用外)となります
当サイトの内容、テキスト、画像等の無断転載、複製、複写、盗用を固く禁じます。








