症例詳細
Case detail
境目が見えている前歯のクラウンをオールセラミッククラウンに
治療症例の内容
- 診療科目
- 治療カテゴリ
- 担当医
- 藤巻太一朗(ドクタープロフィール)
- 患者様
- 20代女性
- 治療期間
- 3ヶ月
- 治療回数
- 2-5回
- 治療計画
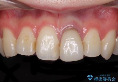
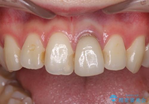
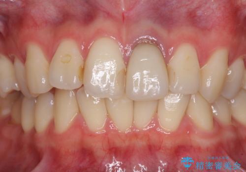
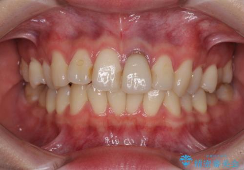
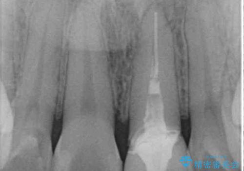
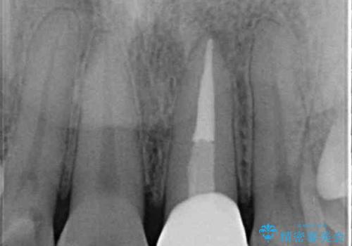
- 前歯のクラウン付近の歯肉が黒く見えることを気にして来院された患者様です。
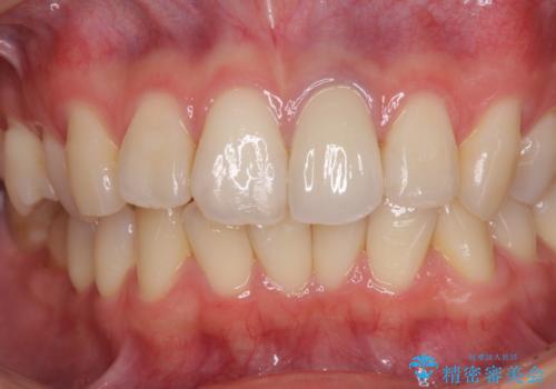
根管治療を行った後に、オールセラミッククラウンにて補綴することとしました。
- 費用(概算)
- 治療費の目安: 25万円費用は治療当時の料金となります
治療について
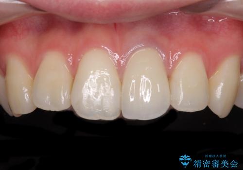
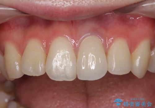
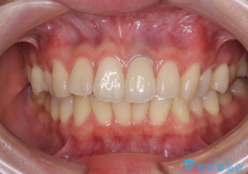
オーダーメイドタイプのクラウンを選択いただいたので、まるで天然の歯と見間違うほど自然に仕上がり、患者様には大変満足していただきました。
セラミック治療の注意事項(リスク・副作用など)
- 天然歯を削ります
- 硬い素材は天然歯を傷つけてしまう場合があります
- かみ合わせや歯ぎしりが強すぎる方はセラミックが割れてしまう可能性があります
- 自費診療(保険適用外治療)となります
当サイトの内容、テキスト、画像等の無断転載、複製、複写、盗用を固く禁じます。














