症例詳細
Case detail
前歯の叢生を解消 ワイヤー装置での抜歯矯正
治療症例の内容
- 診療科目
- 担当医
- 藤巻太一朗(ドクタープロフィール)
- 患者様
- 20代男性
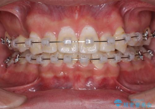
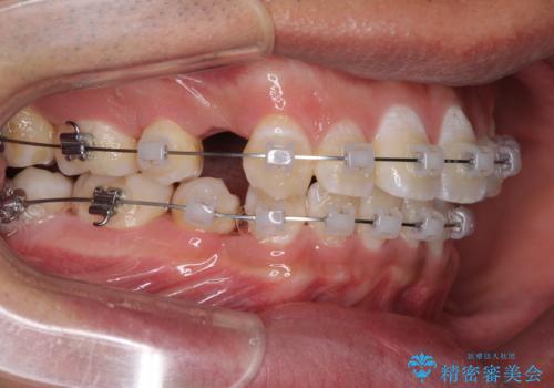
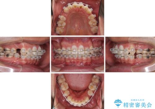
- 矯正装置
- クリアブラケット
- 治療期間
- 3年3ヶ月
- 治療回数
- 10-30回
- 治療計画
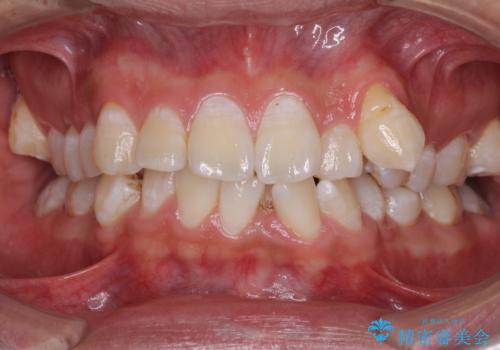
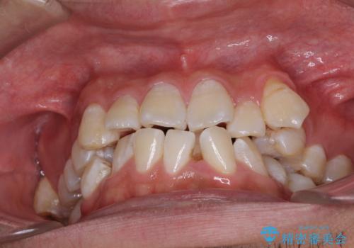
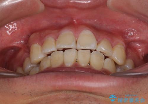
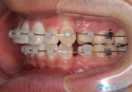
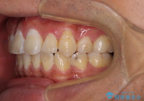
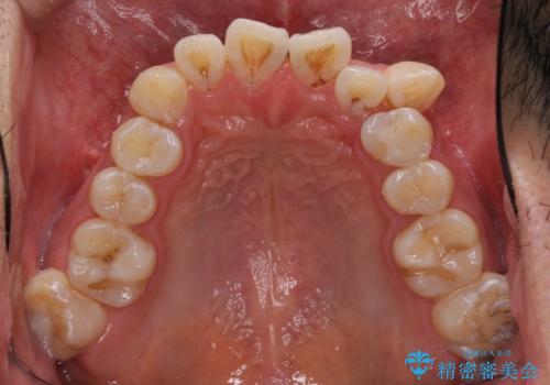
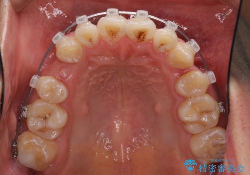
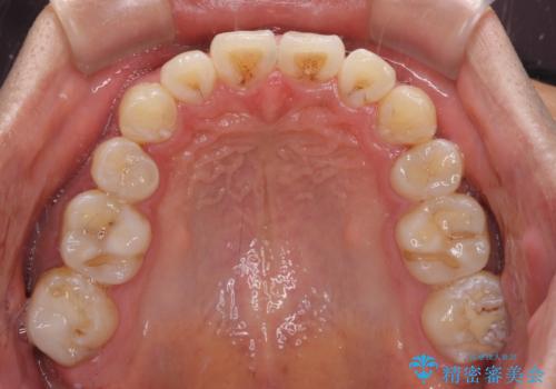
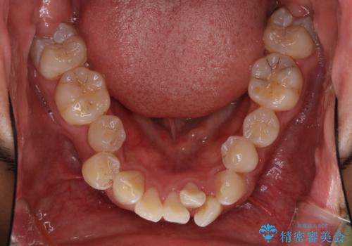
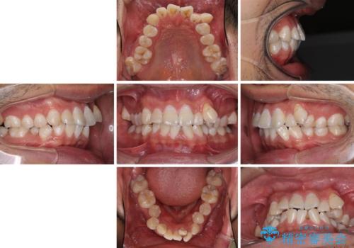
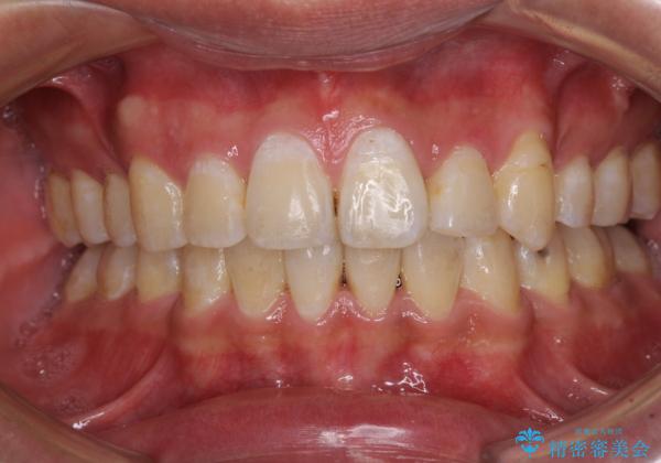
- 前歯の叢生と八重歯を気にして来院された患者様です。
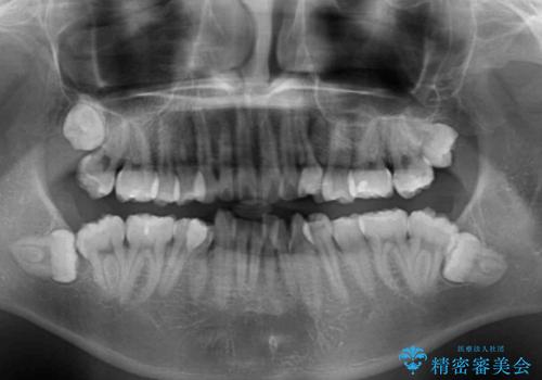
叢生が強く、奥歯の咬合も左右差が大きかったため、上下左右4本を抜歯して、ワイヤー矯正を行うこととしました。
- 費用(概算)
- 治療費の目安: 105万円費用は治療当時の料金となります
治療について
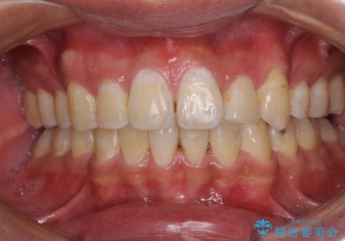
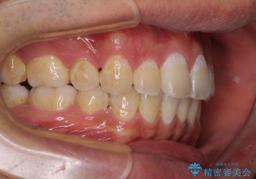
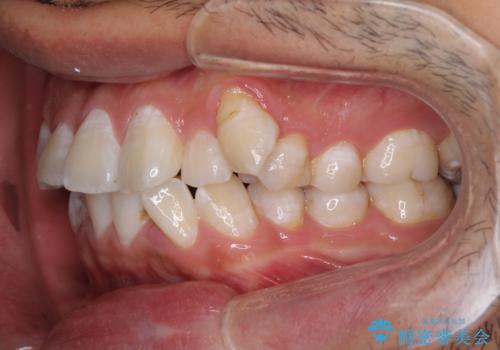
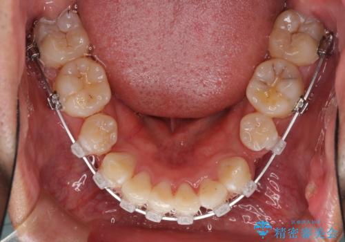
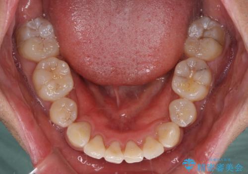
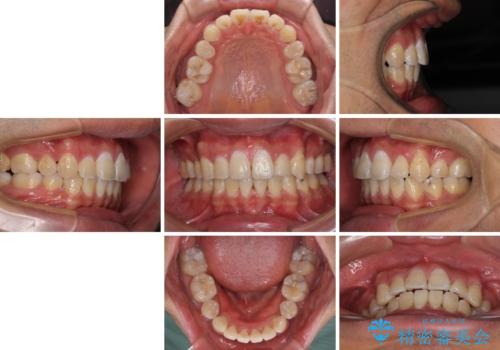
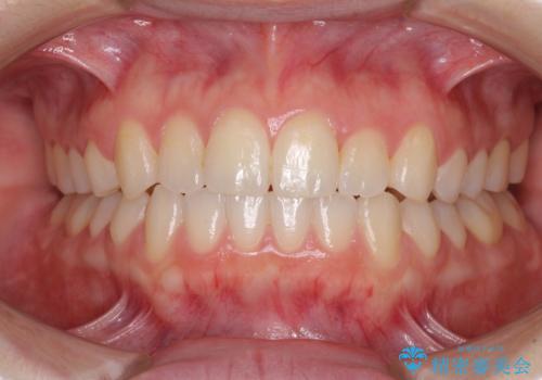
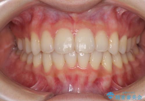
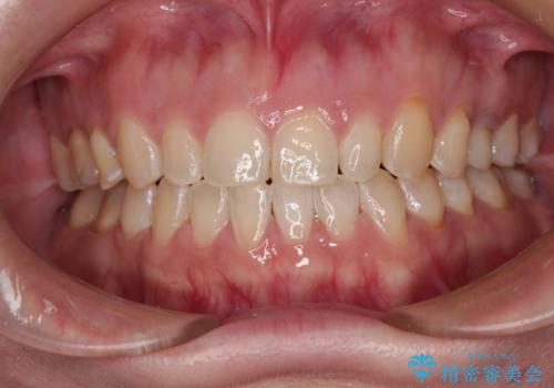
奥歯の咬み合わせを改善したいため、治療期間が長くなりましたが、患者様には辛抱強くお付き合いいただきました。
上下の正中を合わせることもでき、患者様には大変満足していただきました。
ワイヤー矯正の注意事項(リスク・副作用など)
- 治療中は違和感や痛みが起こることがあります
- 症状により、抜歯が必要な場合があります
- 治療中は歯磨きがしにくくなるため、虫歯や歯周病になりやすくなります
- 矯正治療後の保定が不十分だと後戻り(元の位置に戻ろうとする動き)をします
- 自費診療(保険適用外)となります
当サイトの内容、テキスト、画像等の無断転載、複製、複写、盗用を固く禁じます。




























