症例詳細
Case detail
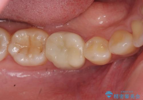
目立つ銀歯を白くしたい
治療症例の内容
- 診療科目
- 治療カテゴリ
- 担当医
- 大元洋佑(ドクタープロフィール)
- 患者様
- 20代女性
- 治療期間
- 1ヶ月
- 治療回数
- 2-5回
- 治療計画
- 笑った際に見える銀歯を白くしたいと希望され来院されました。
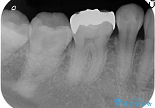
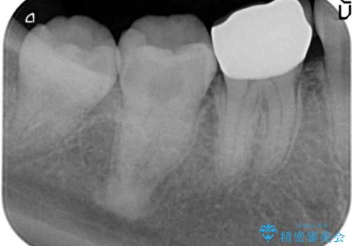
銀歯の周囲にも虫歯が見られたのでインレーではなく、耐久性の強いフルジルコニアクラウンでの治療を計画します。
- 費用(概算)
- 8万円(仮歯・フルジルコニアクラウン) 税別費用は治療当時の料金となります
銀歯の治療について
銀歯の周囲に虫歯が再発していたり、内部に虫歯が発生している場合などインレーからクラウン形態へとした方が長期的予後が良い場合があります。
セラミック治療の注意事項(リスク・副作用など)
- 天然歯を削ります
- 硬い素材は天然歯を傷つけてしまう場合があります
- かみ合わせや歯ぎしりが強すぎる方はセラミックが割れてしまう可能性があります
- 自費診療(保険適用外治療)となります
当サイトの内容、テキスト、画像等の無断転載、複製、複写、盗用を固く禁じます。




