症例詳細
Case detail
歯肉が腫れている前歯 外科処置を併用したオールセラミッククラウン
治療症例の内容
- 診療科目
- 治療カテゴリ
- 担当医
- 藤巻太一朗(ドクタープロフィール)
- 患者様
- 40代女性
- 治療期間
- 4ヶ月
- 治療回数
- 2-5回
- 治療計画
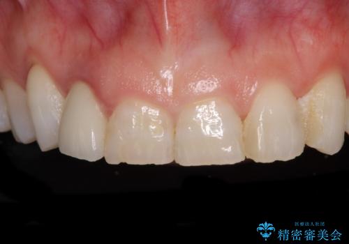
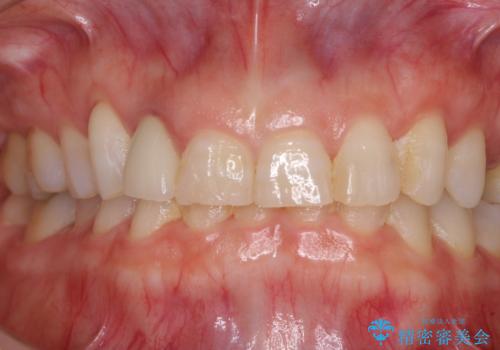
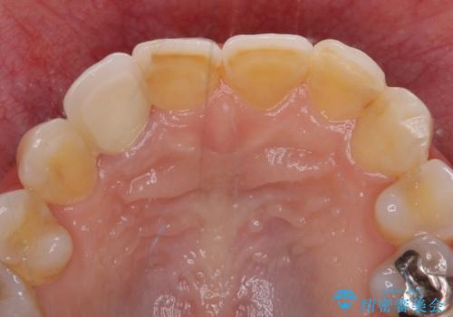
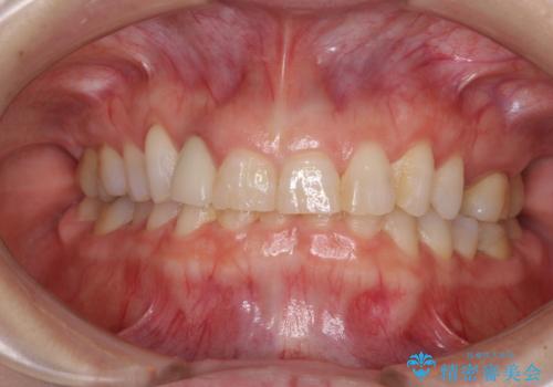
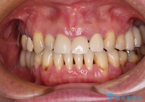
- 前歯のクラウン周りに歯肉が腫れていることを気にして来院された患者様です。
元々磨き残しによる歯肉の腫脹がありましたが、クラウンが歯肉深くに装着されていたため、特に腫脹が目立っていました。
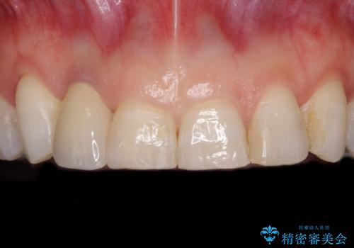
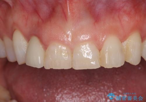
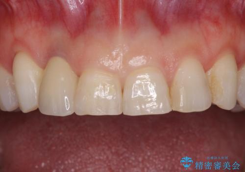
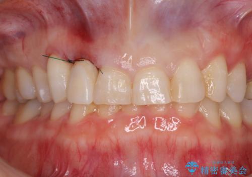
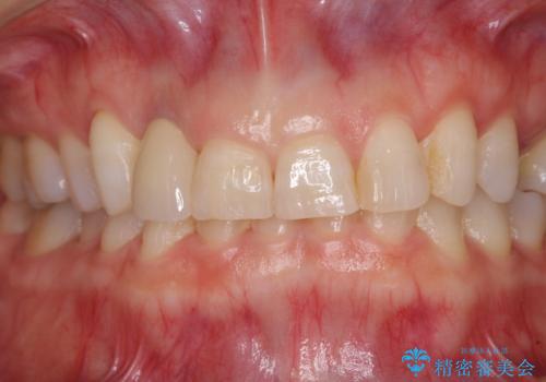
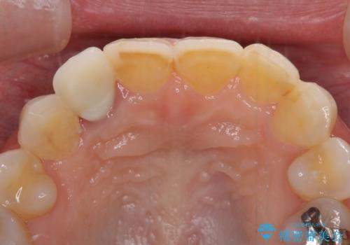
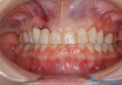
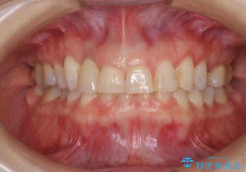
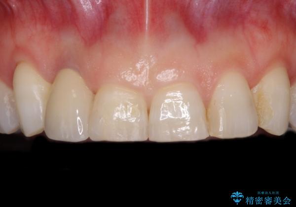
仮歯に置き換えた際に歯周外科処置を行い、歯肉の腫脹が落ち着いたことを確認してオールセラミッククラウンにて補綴することとしました。
- 費用(概算)
- 治療費の目安: 18万円費用は治療当時の料金となります
治療について
外科処置後の痛みを気にしていましたが、小規模の処置であったため、痛みを感じることはほとんどありませんでした。
気になっていた腫脹がなくなり、患者様には大変満足していただきました。
セラミック治療の注意事項(リスク・副作用など)
- 天然歯を削ります
- 硬い素材は天然歯を傷つけてしまう場合があります
- かみ合わせや歯ぎしりが強すぎる方はセラミックが割れてしまう可能性があります
- 自費診療(保険適用外治療)となります
外科処置の注意事項(リスク・副作用など)
- 外科手術のため、術後に出血、痛みや腫れ、違和感を伴います
- 口腔内の状態によっては適応できないことがあります
当サイトの内容、テキスト、画像等の無断転載、複製、複写、盗用を固く禁じます。
















