症例詳細
Case detail
切端咬合をインビザライン矯正で解消
治療症例の内容
- 診療科目
- 担当医
- 藤巻太一朗(ドクタープロフィール)
- 患者様
- 30代女性
- 矯正装置
- インビザライン
- 治療期間
- 1年8ヶ月
- 治療回数
- 10-30回
- 治療計画
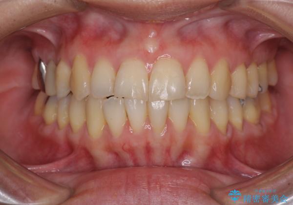
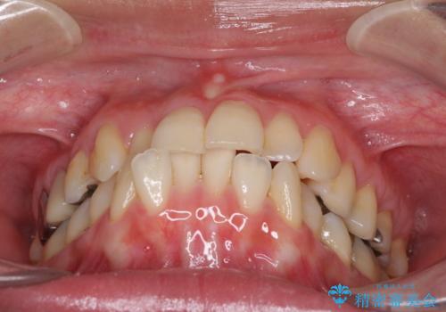
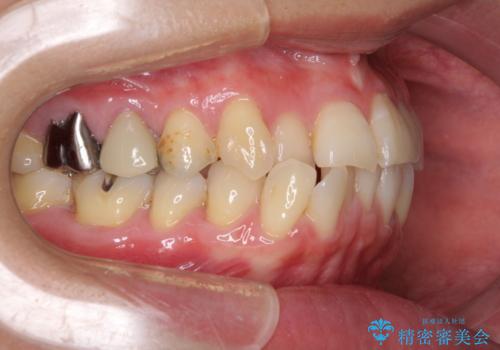
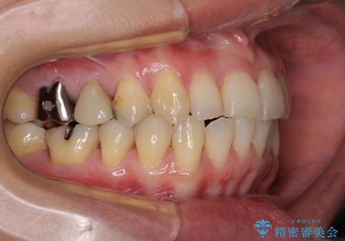
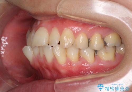
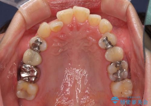
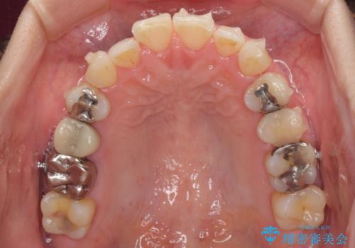
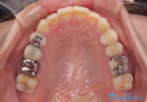
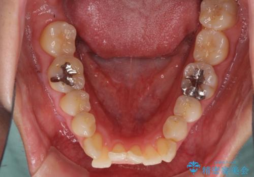
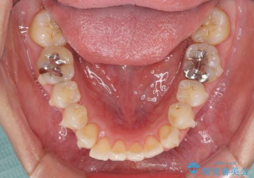
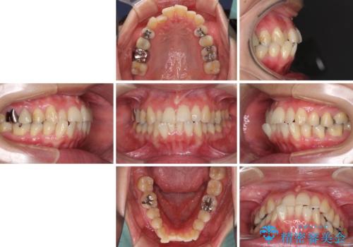
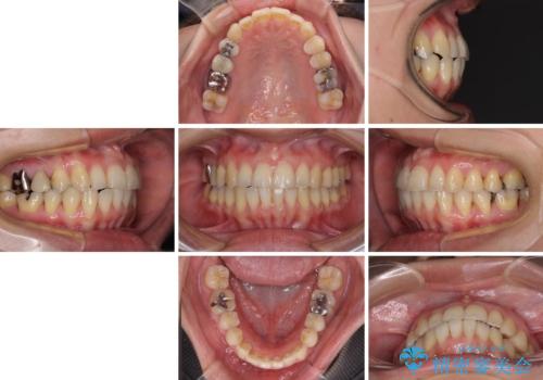
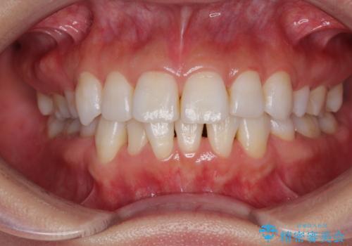
- 前歯のデコボコを気にして来院された患者様です。
 上下前歯の先端同士が接触する切端咬合であったため、上顎は歯列を拡大し、下顎はIPR(歯と歯の間を削る)により叢生を解消しながら歯列を小さくすることとしました。
 矯正装置にはインビザラインを用いることとしました。
- 費用(概算)
- 治療費の目安: 75万円費用は治療当時の料金となります
治療について
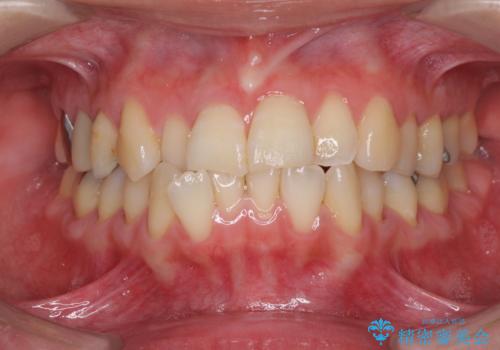
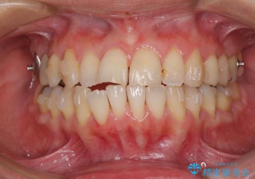
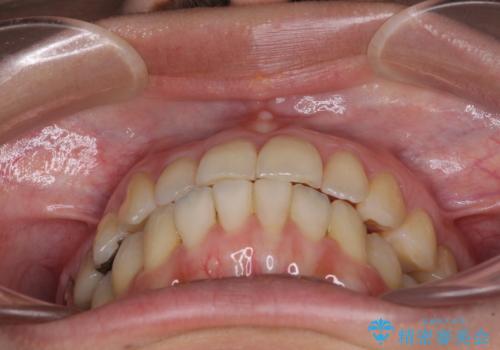
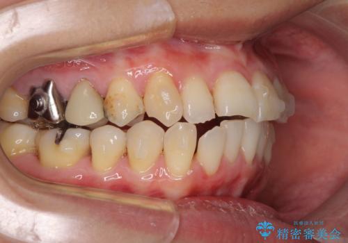
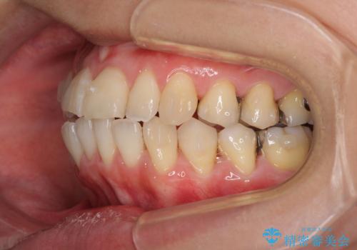
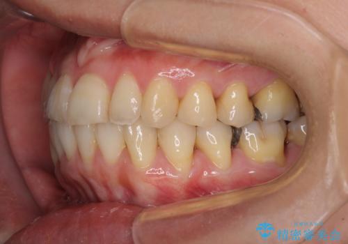
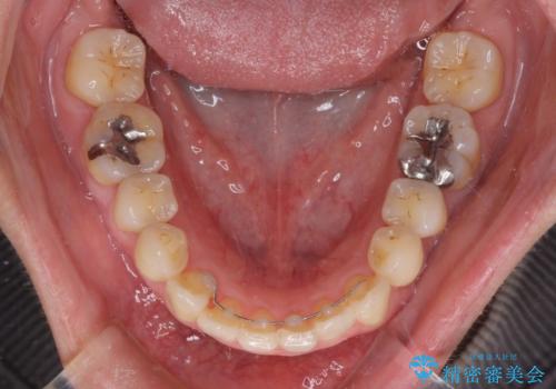
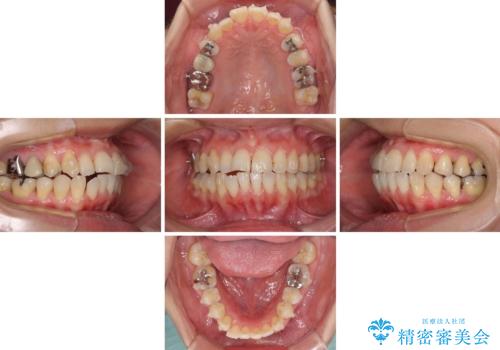
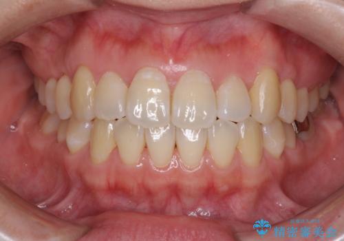
治療途中に前歯に歯髄充血を思わせる痛みが認められたため、無理のない歯の移動と頻繁な経過観察を行いました。
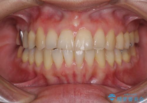
切端咬合はスムーズに解消され、前歯の負担を軽減させることができました。
マウスピース矯正の注意事項(リスク・副作用など)
- 口腔内・歯並びの状態によっては対応できない場合があります
- マウスピース型矯正装置の長時間装着(1日20時間以上)が必須です
- 治療計画通りに進めるためには、患者様の意志が重要になります
- 矯正治療後の保定が不十分だと後戻り(元の位置に戻ろうとする動き)をします
- 薬機法対象外の矯正歯科装置のため医薬品副作用被害救済制度の対象外となる場合があります
- 自費診療(保険適用外)となります
当サイトの内容、テキスト、画像等の無断転載、複製、複写、盗用を固く禁じます。








 
                       
                                                          

























 
                   
                   
                  