症例詳細
Case detail
前歯のクロスバイトをインビザラインで矯正治療
治療症例の内容
- 診療科目
- 治療カテゴリ
- 担当医
- 藤巻太一朗(ドクタープロフィール)
- 患者様
- 30代男性
- 矯正装置
- インビザライン
- 治療期間
- 1年3ヶ月
- 治療回数
- 10-30回
- 治療計画
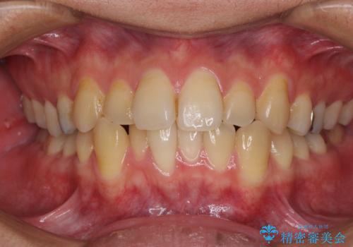
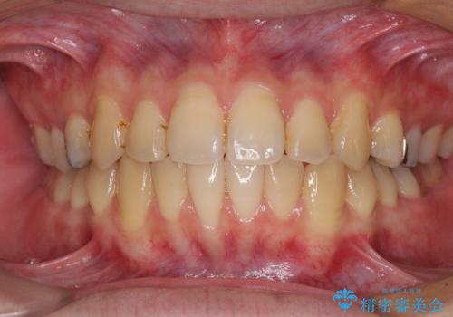
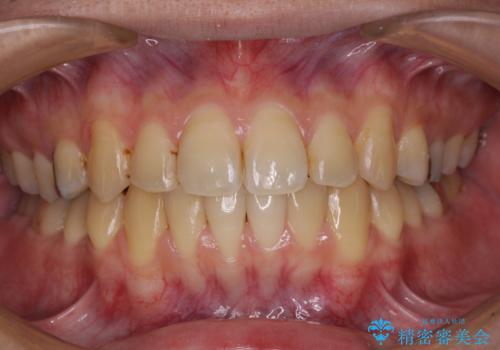
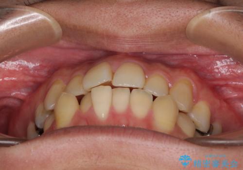
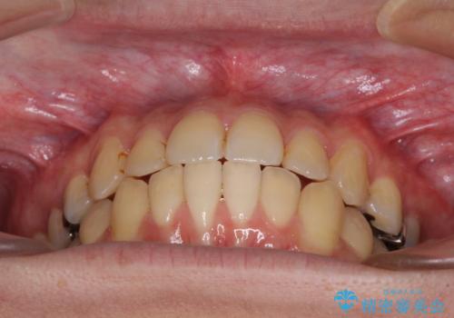
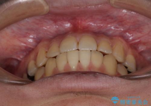
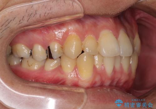
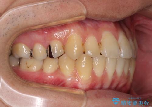
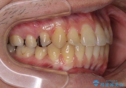
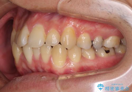
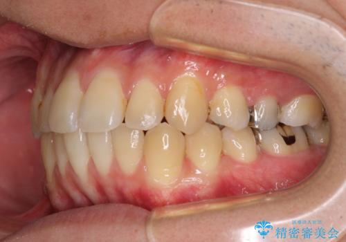
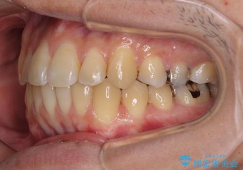
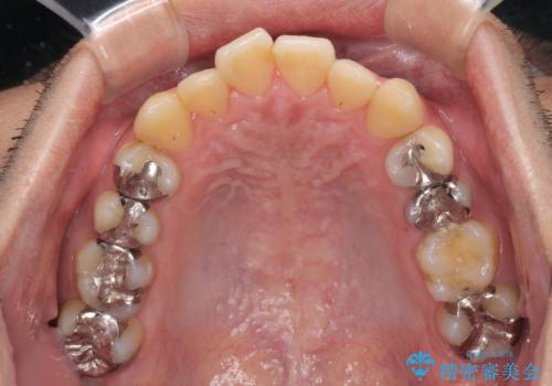
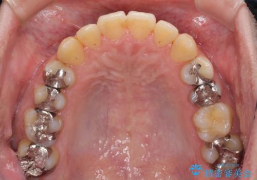
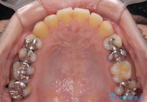
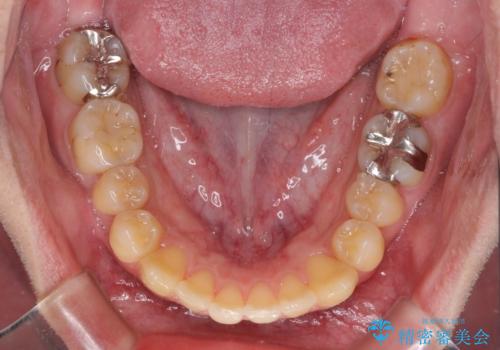
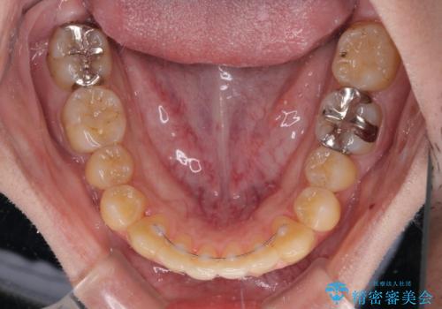
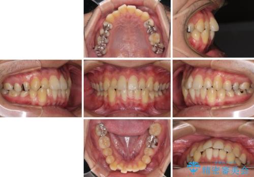
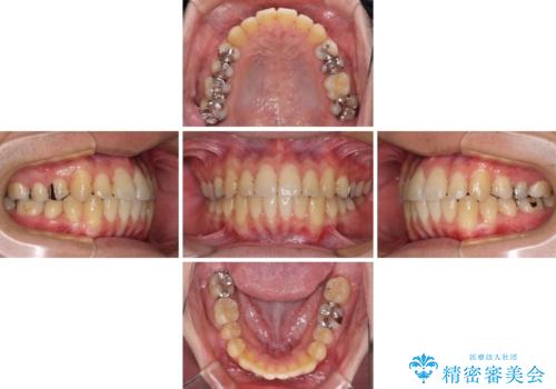
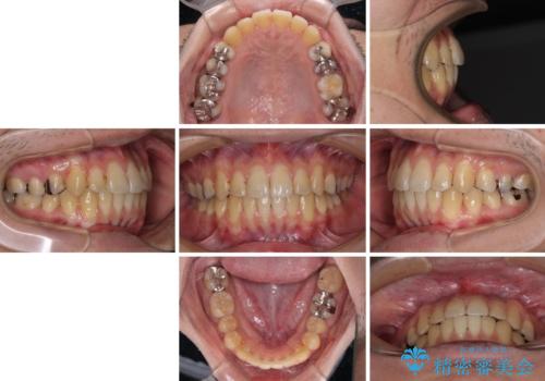
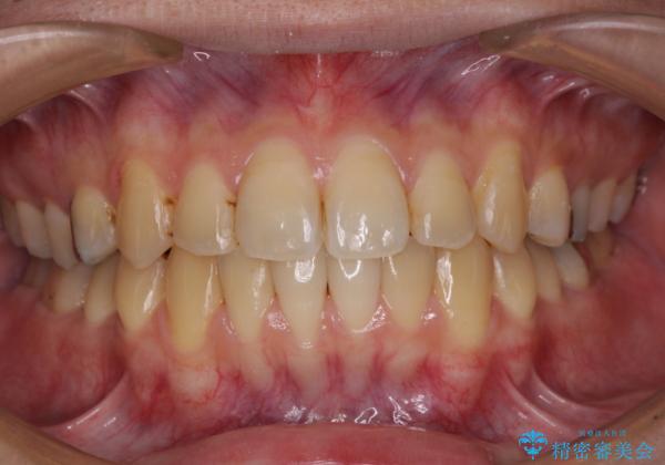
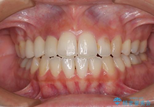
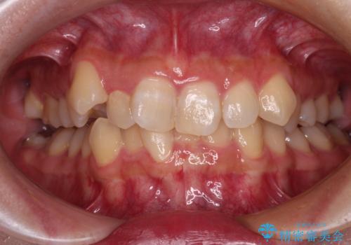
- 前歯のデコボコとクロスバイトを気にして来院された患者様です。
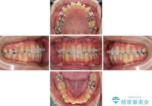
前歯を早く整えたいとの希望があったので、ワイヤー矯正にて短期間でクロスバイトを解消し、その後インビザラインにて整えることとしました。
- 費用(概算)
- 治療費の目安: 75万円費用は治療当時の料金となります
治療について
インビザラインによる前歯のクロスバイト改善におけるリスクとして、前歯歯髄充血・歯髄壊死が挙げられます。
ワイヤー矯正を併用する目的として、短期間でデコボコやクロスバイトを改善する他に、歯髄充血リスクを低減させるというものがあります。
マウスピース矯正の注意事項(リスク・副作用など)
- 口腔内・歯並びの状態によっては対応できない場合があります
- マウスピース型矯正装置の長時間装着(1日20時間以上)が必須です
- 治療計画通りに進めるためには、患者様の意志が重要になります
- 矯正治療後の保定が不十分だと後戻り(元の位置に戻ろうとする動き)をします
- 薬機法対象外の矯正歯科装置のため医薬品副作用被害救済制度の対象外となる場合があります
- 自費診療(保険適用外)となります
当サイトの内容、テキスト、画像等の無断転載、複製、複写、盗用を固く禁じます。




























