症例詳細
Case detail
子供の頃にぶつけた前歯 根管治療から行うセラミック治療
治療症例の内容
- 担当医
 - 大元洋佑(ドクタープロフィール)
 
- 患者様
 - 30代女性
 
- 治療期間
 - 6ヶ月
 
- 治療回数
 - 2-5回
 
- 治療計画
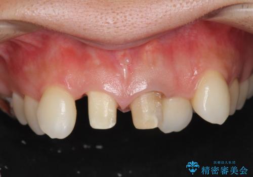
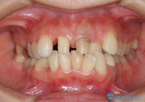
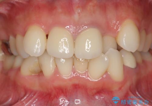
 - 幼少時にぶつけ、神経を取った歯の審美改善を求めて来院されました。
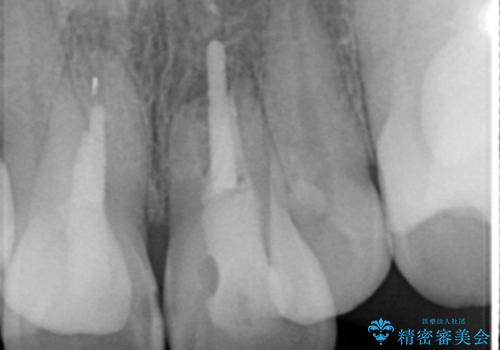
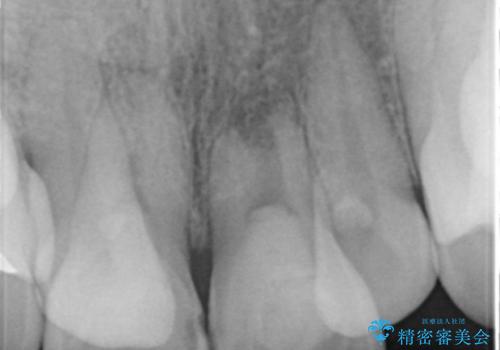
X線写真より不十分な根管治療、根尖病変、前歯の変色が認められます。
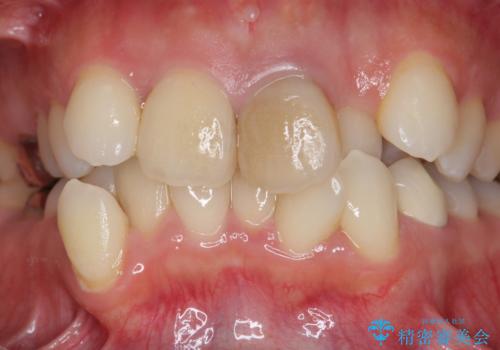
歯根の近接のみられる右上側切歯を抜去し、根管治療を伴うセラミック治療を計画します。 
- 費用(概算)
 - 26万円(仮歯・ファイバーコア・ジルコニアクラウン×2)費用は治療当時の料金となります
 
歯根近接について
叢生が著しく、歯根の近接が見られる場合歯磨きができず歯石がたまりやすく骨吸収の原因となることが多いです。
このような場合矯正や転位歯の抜去が治療方法として挙げられます。
根管治療の注意事項(リスク・副作用など)
- 根管治療により類似の全ての症例の問題が解決するわけではなく、症例はあくまでも一例です
 - 根管治療により痛みや腫れがひかない事や、術後に痛みや腫れが生じる事、治療によるファイル破折やパーフォレーションなどの偶発症、術後の歯根破折を生じる可能性もあります
 - 自費診療(保険適用外)となります
 
セラミック治療の注意事項(リスク・副作用など)
- 天然歯を削ります
 - 硬い素材は天然歯を傷つけてしまう場合があります
 - かみ合わせや歯ぎしりが強すぎる方はセラミックが割れてしまう可能性があります
 - 自費診療(保険適用外治療)となります
 
当サイトの内容、テキスト、画像等の無断転載、複製、複写、盗用を固く禁じます。

                      
                                                          














