症例詳細
Case detail
古くなったセラミッククラウンのやりかえ
治療症例の内容
- 診療科目
- 治療カテゴリ
- 担当医
- 大元洋佑(ドクタープロフィール)
- 患者様
- 50代女性
- 治療期間
- 2ヶ月
- 治療回数
- 2-5回
- 治療計画
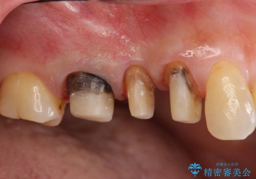
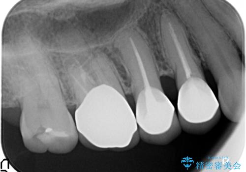
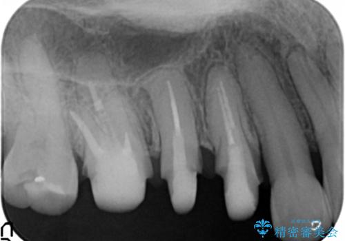
- 老朽化し黒ずんできたクラウンのやりかえを希望され来院されました。
将来的に歯ぐきの位置が変化しても審美障害となりづらいオールセラミックジルコニアクラウンによるやり替えを計画します。
- 費用(概算)
- 33万円(仮歯・ファイバーコア・ジルコニアクラウン×3)費用は治療当時の料金となります
オールセラミックジルコニアクラウンについて
金属を用いないクラウンんなので歯ぐきとの境目が黒くなる等の問題が起きません。
セラミック治療の注意事項(リスク・副作用など)
- 天然歯を削ります
- 硬い素材は天然歯を傷つけてしまう場合があります
- かみ合わせや歯ぎしりが強すぎる方はセラミックが割れてしまう可能性があります
- 自費診療(保険適用外治療)となります
当サイトの内容、テキスト、画像等の無断転載、複製、複写、盗用を固く禁じます。









