症例詳細
Case detail
前歯の変色 セラミッククラウンによる審美回復
治療症例の内容
- 診療科目
- 治療カテゴリ
- 担当医
- 大元洋佑(ドクタープロフィール)
- 患者様
- 50代女性
- 治療期間
- 1ヶ月
- 治療回数
- 2-5回
- 治療計画
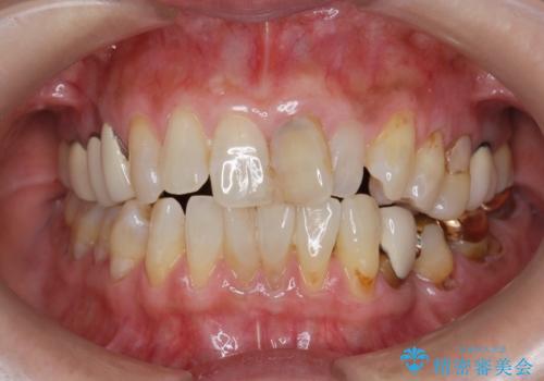
- 前歯の変色による審美障害の改善を希望され来院されました。
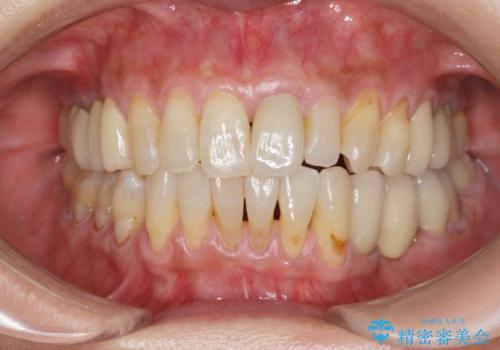
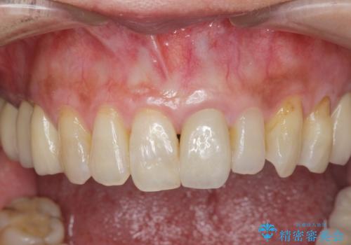
ジルコニアクラウンによる審美性の改善を計画します。
- 費用(概算)
- 11万円(仮歯・ジルコニアクラウン)費用は治療当時の料金となります
クラウン治療について
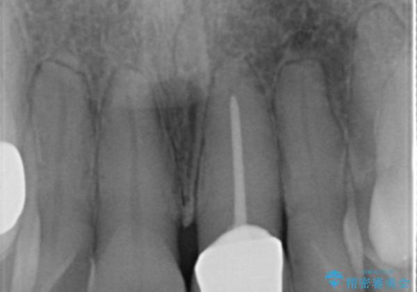
神経の治療をした歯は時間の経過と共に色調の変化が見られます。
このような際、ジルコニアクラウンを装着することで審美性の改善を達成することができます。
セラミック治療の注意事項(リスク・副作用など)
- 天然歯を削ります
- 硬い素材は天然歯を傷つけてしまう場合があります
- かみ合わせや歯ぎしりが強すぎる方はセラミックが割れてしまう可能性があります
- 自費診療(保険適用外治療)となります
当サイトの内容、テキスト、画像等の無断転載、複製、複写、盗用を固く禁じます。





