症例詳細
Case detail
長さの気になる変色した前歯をオールセラミッククラウンに
治療症例の内容
- 診療科目
- 治療カテゴリ
- 担当医
- 藤巻太一朗(ドクタープロフィール)
- 患者様
- 40代女性
- 治療期間
- 1ヶ月
- 治療回数
- 2-5回
- 治療計画
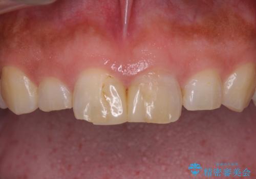
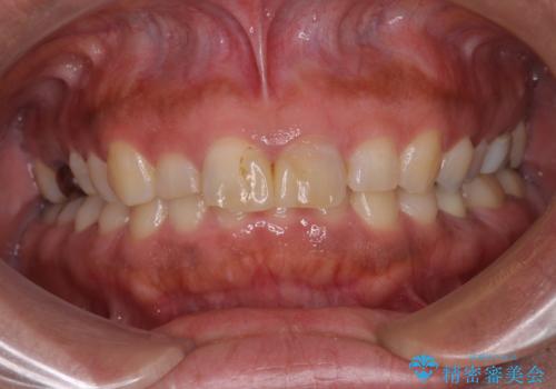
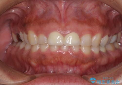
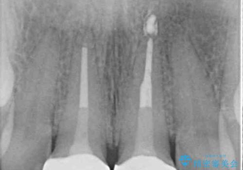
- 前歯の形と色を気にして来院された患者様です。
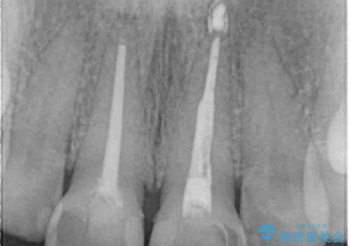
虫歯で神経を取り除いたことによる変色や充填物の着色などが認められたため、オールセラミッククラウンにて補綴することとしました。
また、咬耗により周囲の歯がすり減ったことで、前歯2本のみが長く見えていたため、周囲に長さを合わせることとしました。
- 費用(概算)
- 治療費の目安: 28万円費用は治療当時の料金となります
治療について
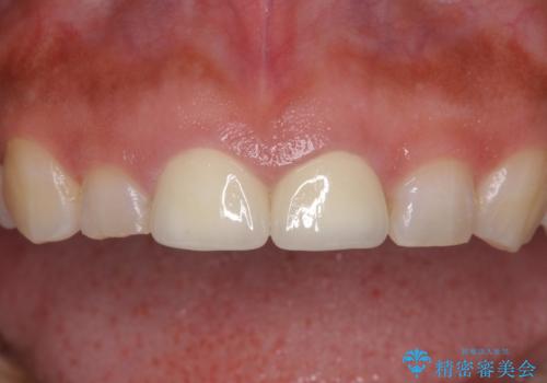
治療を提供する側からすると、歯が短すぎるように思えますが、患者様としては長年気になっていた形態が改善され、大変満足していただきました。
セラミック治療の注意事項(リスク・副作用など)
- 天然歯を削ります
- 硬い素材は天然歯を傷つけてしまう場合があります
- かみ合わせや歯ぎしりが強すぎる方はセラミックが割れてしまう可能性があります
- 自費診療(保険適用外治療)となります
当サイトの内容、テキスト、画像等の無断転載、複製、複写、盗用を固く禁じます。












