症例詳細
Case detail
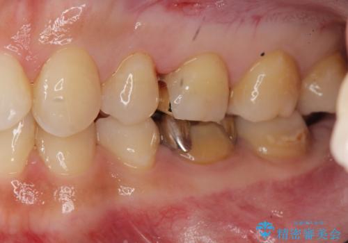
笑った時に目立つ銀歯を白くしたい
治療症例の内容
- 診療科目
- 治療カテゴリ
- 担当医
- 大元洋佑(ドクタープロフィール)
- 患者様
- 20代男性
- 治療期間
- 1ヶ月
- 治療回数
- 2-5回
- 治療計画
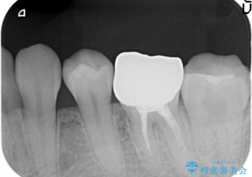
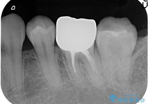
- 笑った時に目立つ、下の歯の銀歯をセラミックにしたいと来院されました。
症状・病変はなかったため根管治療は行わず、クラウンのやりかえのみの治療計画としました。
- 費用(概算)
- 11万円(仮歯・ジルコニアクラウン)費用は治療当時の料金となります
セラミック治療について
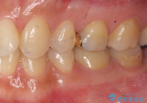
口腔内の金属を取り除くことで、健康的で明るい印象となりました。
セラミック治療の注意事項(リスク・副作用など)
- 天然歯を削ります
- 硬い素材は天然歯を傷つけてしまう場合があります
- かみ合わせや歯ぎしりが強すぎる方はセラミックが割れてしまう可能性があります
- 自費診療(保険適用外治療)となります
当サイトの内容、テキスト、画像等の無断転載、複製、複写、盗用を固く禁じます。






