症例詳細
Case detail
仕事上装置をつけることができない インビザラインで目立たない矯正
治療症例の内容
- 担当医
- 患者様
- 20代女性
- 矯正装置
- インビザライン
- 治療期間
- 2年3ヶ月
- 治療回数
- 10-30回
- 治療計画
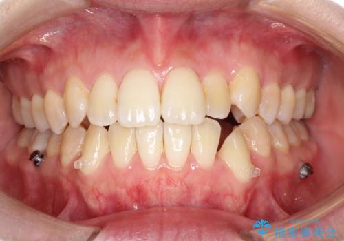
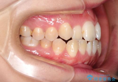
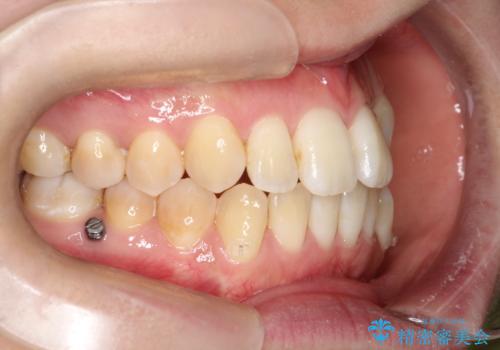
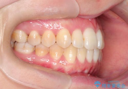
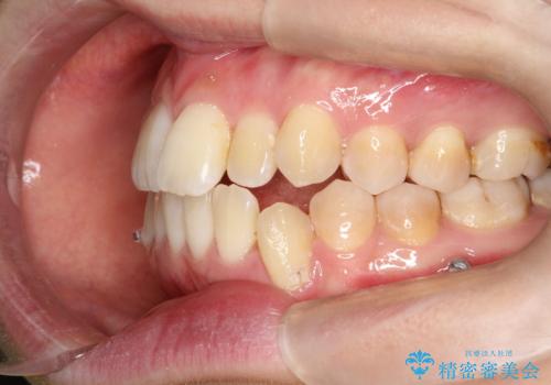
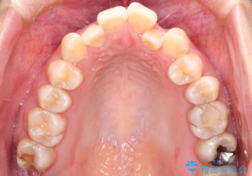
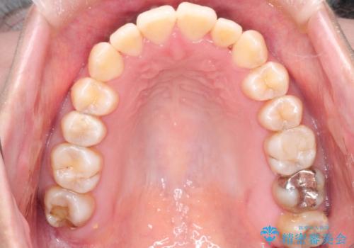
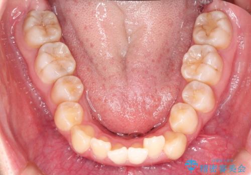
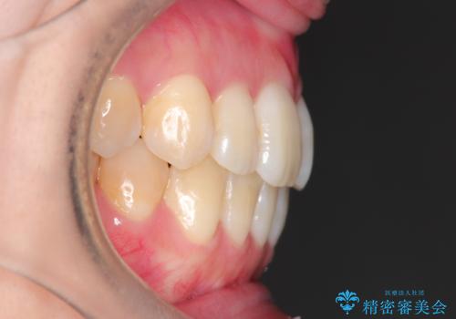
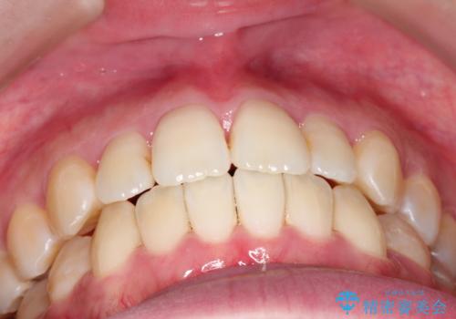
- 前歯のガタガタと、かみ合わせを改善したいとのことで来院されました。
人前でお話をするお仕事のため、装置をつけないでよいマウスピース矯正を希望されました。
下顎の歯が、上顎の歯に対して前方に位置していたので、下顎の歯を後方に移動させるのと、歯と歯の間を削りスペースを作り、歯を並べる計画としました。
- 費用(概算)
- 約85万円費用は治療当時の料金となります
治療について
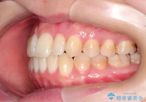
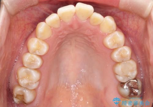
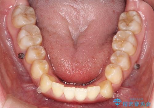
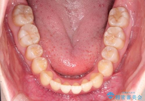
お仕事の関係で使用時間が制限されるときもあり、治療期間が予想より少し長くなりましたが、装置をつけずに治療を終えることができました。
マウスピース矯正の注意事項(リスク・副作用など)
- 口腔内・歯並びの状態によっては対応できない場合があります
- マウスピース型矯正装置の長時間装着(1日20時間以上)が必須です
- 治療計画通りに進めるためには、患者様の意志が重要になります
- 矯正治療後の保定が不十分だと後戻り(元の位置に戻ろうとする動き)をします
- 薬機法対象外の矯正歯科装置のため医薬品副作用被害救済制度の対象外となる場合があります
- 自費診療(保険適用外)となります
当サイトの内容、テキスト、画像等の無断転載、複製、複写、盗用を固く禁じます。

















