症例詳細
Case detail
オールセラミッククラウン 部分矯正
治療症例の内容
- 診療科目
- 治療カテゴリ
- 担当医
- 患者様
- 20代男性
- 治療期間
- 6ヶ月
- 治療回数
- 2-5回
- 治療計画
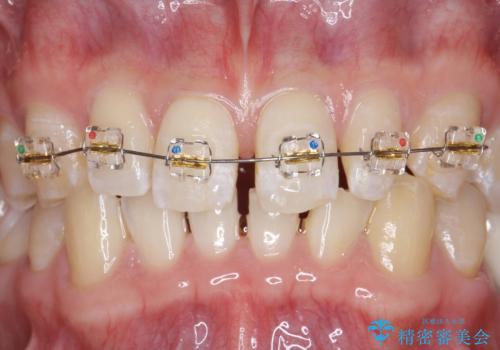
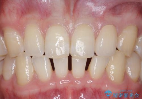
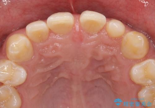
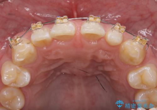
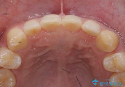
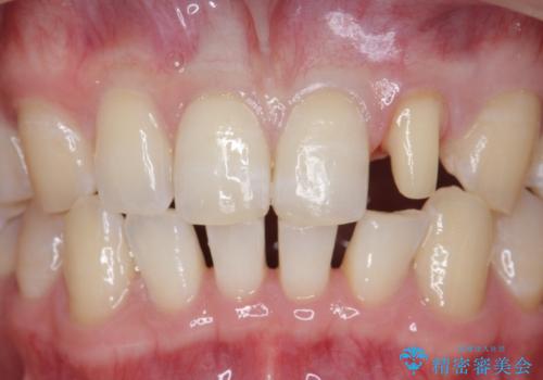
- 上顎前歯のすきっ歯が気になるといらっしゃった方の症例です。
上顎前歯のみの治療を希望されたので、部分矯正を行いました。
左上2の矮小歯はオールセラミッククラウンによる補綴を行いました。
- 費用(概算)
- オールセラミッククラウン…¥100,000、仮歯…¥10,000、部分矯正…¥100,000費用は治療当時の料金となります
オールセラミッククラウンについて
今回用いたオールセラミッククラウンは、ジルコニアフレームという白い素材の上にセラミックを盛っているため審美性が非常に高いのが特徴です。
またジルコニアは人工ダイヤモンドの材料にも使われているほど高い強度を持っており、そのためオールセラミッククラウンは審美性だけでなく、奥歯やブリッジの補綴も可能とするクラウンです。
ワイヤー矯正の注意事項(リスク・副作用など)
- 治療中は違和感や痛みが起こることがあります
- 症状により、抜歯が必要な場合があります
- 治療中は歯磨きがしにくくなるため、虫歯や歯周病になりやすくなります
- 矯正治療後の保定が不十分だと後戻り(元の位置に戻ろうとする動き)をします
- 自費診療(保険適用外)となります
セラミック治療の注意事項(リスク・副作用など)
- 天然歯を削ります
- 硬い素材は天然歯を傷つけてしまう場合があります
- かみ合わせや歯ぎしりが強すぎる方はセラミックが割れてしまう可能性があります
- 自費診療(保険適用外治療)となります
当サイトの内容、テキスト、画像等の無断転載、複製、複写、盗用を固く禁じます。










