症例詳細
Case detail
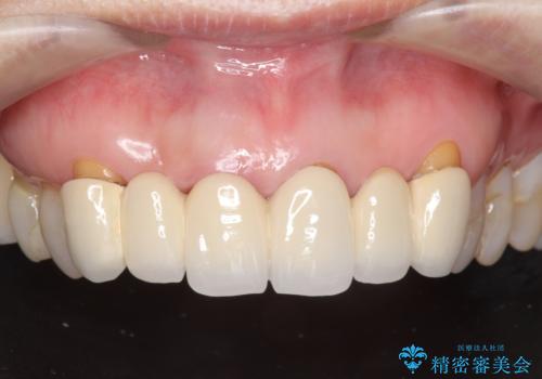
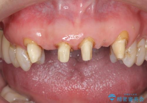
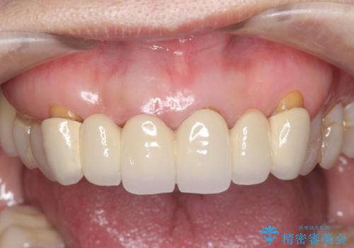
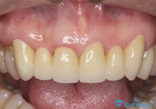
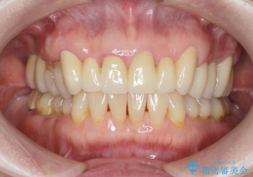
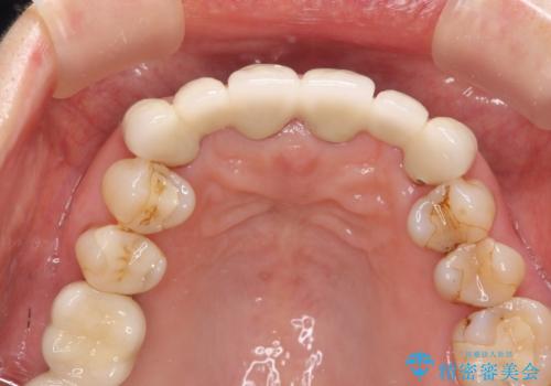
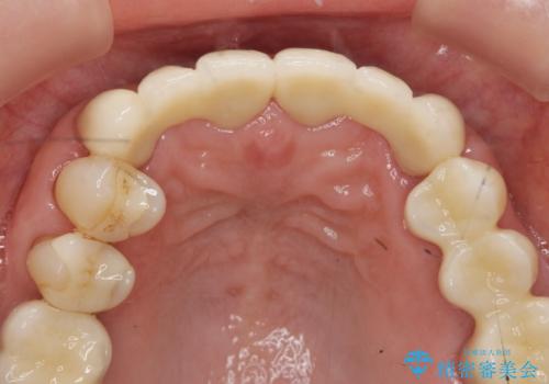
不自然な前歯ブリッジ ジルコニアブリッジによるやり替え
治療症例の内容
- 診療科目
- 治療カテゴリ
- 担当医
- 大元洋佑(ドクタープロフィール)
- 患者様
- 40代女性
- 治療期間
- 2ヶ月
- 治療回数
- 2-5回
- 治療計画
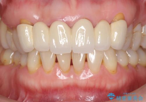
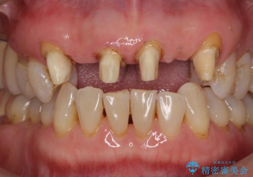
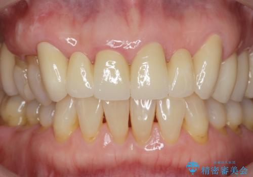
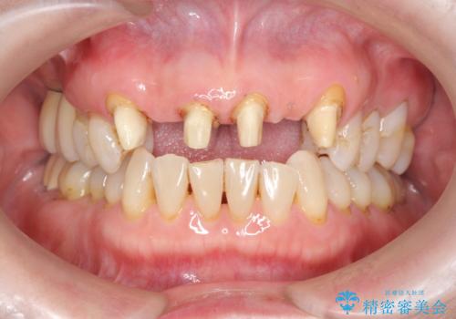
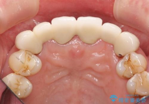
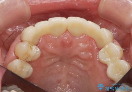
- 20年前に入れたブリッジの見た目の改善を求めて来院されました。
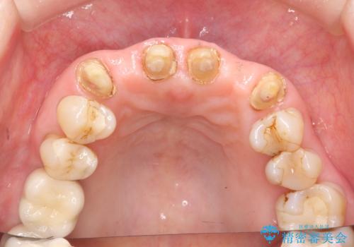
丁寧に現在装着されているブリッジを除去後、精度の高いジルコニアブリッジで審美性の改善を計画します。
- 費用(概算)
- 66万円(仮歯・ジルコニアクラウン×6)費用は治療当時の料金となります
ジルコニア前歯ブリッジ治療について
前歯に限らず拡大鏡を用いた精密な形成・シリコンを用いた精度の高い印象を徹底することで治療全体の質を高め、審美性だけでなく長期的な予後を期待することができます。
セラミック治療の注意事項(リスク・副作用など)
- 天然歯を削ります
- 硬い素材は天然歯を傷つけてしまう場合があります
- かみ合わせや歯ぎしりが強すぎる方はセラミックが割れてしまう可能性があります
- 自費診療(保険適用外治療)となります
当サイトの内容、テキスト、画像等の無断転載、複製、複写、盗用を固く禁じます。



















