症例詳細
Case detail
歯ぎしりに抵抗する歯周補綴 インプラント補綴
治療症例の内容
- 患者様
- 40代女性
- 治療期間
- 1年
- 治療回数
- 5-10回
- 治療計画
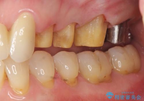
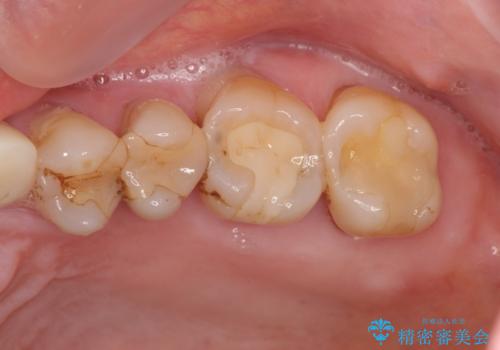
- 朝起きると歯が痛く歯ぎしり、歯の揺れの改善を求めて来院されました。
噛み合わせ・歯ぎしりにより、歯周病を発症し感染のコントロール、強い咬合力のコントロールをできるような補綴計画をたてます。
- 費用(概算)
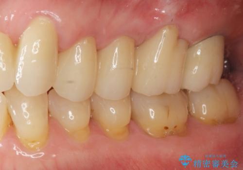
- 61万円(仮歯・フルジルコニアクラウン×4 ・インプラント・チタンカスタムアバットメント )費用は治療当時の料金となります
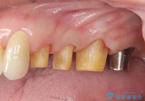
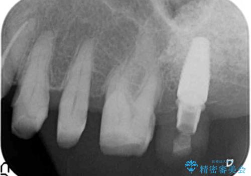
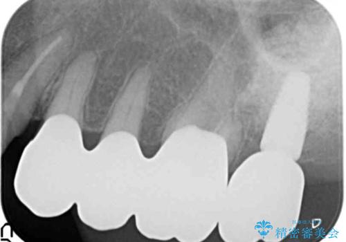
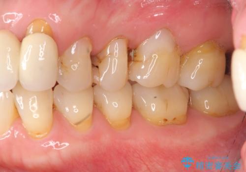
歯周補綴治療について
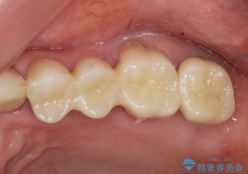
分岐部病変を併発していた歯は、抜歯としインプラントによる咬合機能の回復。残すことのできる歯は歯周治療後連結補綴を行い歯ぎしりに対抗します。
夜間のナイトガード装着は必須です。
セラミック治療の注意事項(リスク・副作用など)
- 天然歯を削ります
- 硬い素材は天然歯を傷つけてしまう場合があります
- かみ合わせや歯ぎしりが強すぎる方はセラミックが割れてしまう可能性があります
- 自費診療(保険適用外治療)となります
歯周病治療の注意事項(リスク・副作用など)
- 外科手術のため、術後に痛みや腫れ、違和感を伴います
- 歯周組織再生治療は患者様の状態によって術後の経過が異なります(見た目が改善しない場合もあります)
- 歯周組織再生治療は自費診療(保険適用外)となります
当サイトの内容、テキスト、画像等の無断転載、複製、複写、盗用を固く禁じます。












