症例詳細
Case detail
割れにくいセラミック治療 フルジルコニアクラウン
治療症例の内容
- 診療科目
 
- 治療カテゴリ
 
- 担当医
 - 大元洋佑(ドクタープロフィール)
 
- 患者様
 - 20代女性
 
- 治療期間
 - 1ヶ月
 
- 治療回数
 - 2-5回
 
- 治療計画
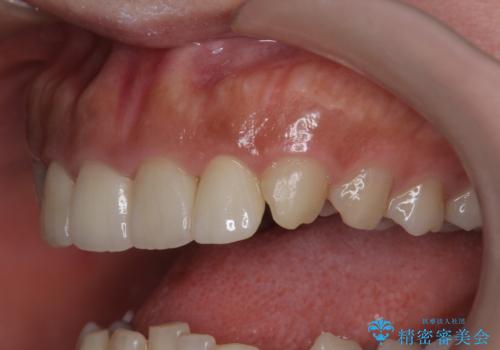
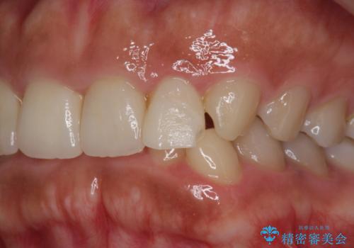
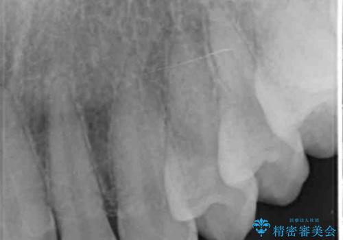
 - 他院で昨年治療したセラミッククラウンが欠け、審美性の改善を求めて来院されました。
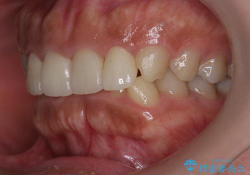
噛み合わせからクラウンが欠けやすい状態だったので、欠けにくく強度に優れるフルジルコニアクラウンで審美性を改善します。 
- 費用(概算)
 - 8万円(仮歯・フルジルコニアクラウン)費用は治療当時の料金となります
 
フルジルコニアクラウンについて
フルジルコニアクラウンは若干透明感に劣る反面、強度に優れ大きな力のかかる部位に有効な補綴方法です。
セラミック治療の注意事項(リスク・副作用など)
- 天然歯を削ります
 - 硬い素材は天然歯を傷つけてしまう場合があります
 - かみ合わせや歯ぎしりが強すぎる方はセラミックが割れてしまう可能性があります
 - 自費診療(保険適用外治療)となります
 
当サイトの内容、テキスト、画像等の無断転載、複製、複写、盗用を固く禁じます。

                      
                                                          




