症例詳細
Case detail
奥歯の壊れたり汚れたりしたクラウン オールセラミッククラウンによる審美歯科治療
治療症例の内容
- 診療科目
- 治療カテゴリ
- 担当医
- 藤巻太一朗(ドクタープロフィール)
- 患者様
- 40代女性
- 治療期間
- 1ヶ月
- 治療回数
- 2-5回
- 治療計画
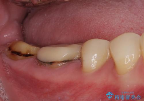
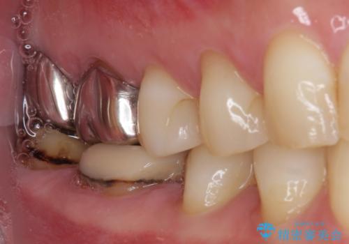
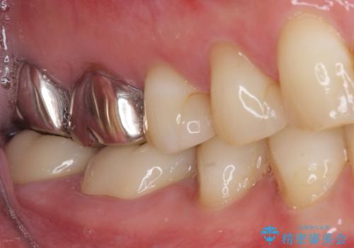
- 以前、職場近くで夜遅くまで治療していた医院で装着した奥歯のクラウンが、壊れたり汚れたりしていることを気にして来院された患者様です。
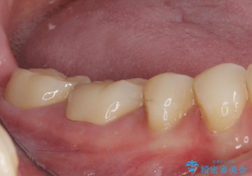
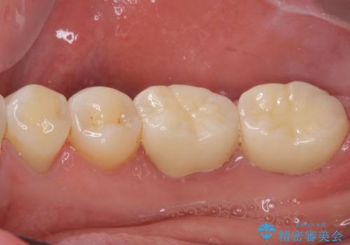
以前は安価であったことからハイブリッドクラウンを選択されたそうですが、すぐに具合が悪くなってしまったので、今回はオールセラミッククラウンにて補綴治療を行うこととしました。
- 費用(概算)
- 治療費の目安: 16万円費用は治療当時の料金となります
治療について
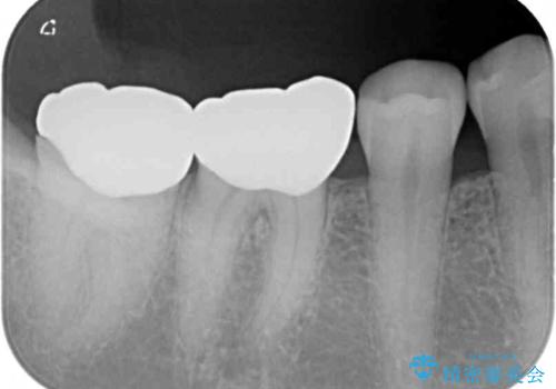
咬合力が強く、土台の歯の高さが低かったたため、より高強度のフルジルコニアクラウンにて補綴治療を行いました。
セラミック治療の注意事項(リスク・副作用など)
- 天然歯を削ります
- 硬い素材は天然歯を傷つけてしまう場合があります
- かみ合わせや歯ぎしりが強すぎる方はセラミックが割れてしまう可能性があります
- 自費診療(保険適用外治療)となります
当サイトの内容、テキスト、画像等の無断転載、複製、複写、盗用を固く禁じます。










