症例詳細
Case detail
矯正治療後のセラミッククラウン
治療症例の内容
- 診療科目
- 治療カテゴリ
- 担当医
- 藤巻太一朗(ドクタープロフィール)
- 患者様
- 30代男性
- 治療期間
- 2ヶ月
- 治療計画
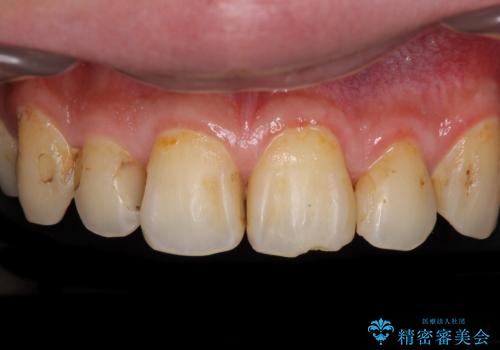
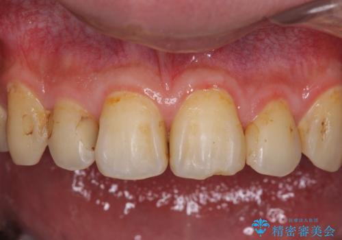
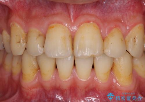
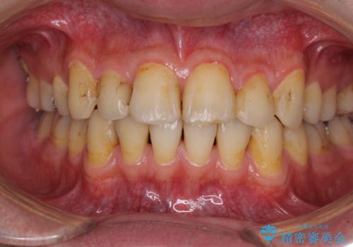
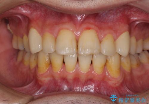
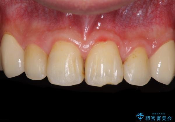
- 以前矯正を行った際に前歯が虫歯だらけとなり、審美面を気にして来院された患者様です。
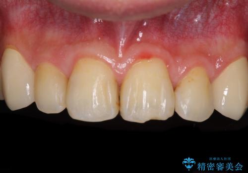
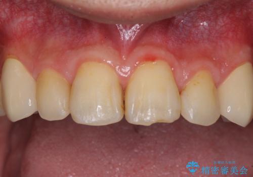
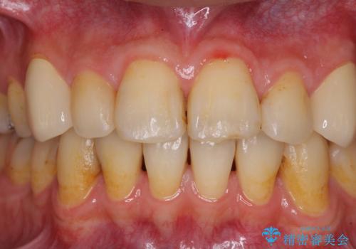
虫歯の大きかった左右犬歯はオールセラミッククラウンで補綴治療をおこない、4前歯は研磨や古い充填物の詰め直しを行いました。
- 費用(概算)
- 治療費の目安: 22万円費用は治療当時の料金となります
治療について
歯並びは良くなったものの、着色が気になって口元を見せることを躊躇していた用ですが、治療後は他人の視線を気にすることがなくなったようで、大変満足していただきました。
セラミック治療の注意事項(リスク・副作用など)
- 天然歯を削ります
- 硬い素材は天然歯を傷つけてしまう場合があります
- かみ合わせや歯ぎしりが強すぎる方はセラミックが割れてしまう可能性があります
- 自費診療(保険適用外治療)となります
当サイトの内容、テキスト、画像等の無断転載、複製、複写、盗用を固く禁じます。














