症例詳細
Case detail
他院で神経を取ると言われた 神経を極力残した虫歯治療
治療症例の内容
- 診療科目
- 治療カテゴリ
- 担当医
- 藤巻太一朗(ドクタープロフィール)
- 患者様
- 20代男性
- 治療期間
- 3ヶ月
- 治療回数
- 2-5回
- 治療計画
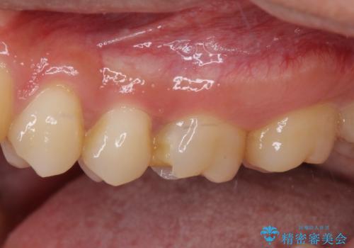
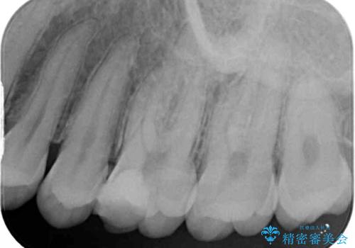
- 食事中にしばしば痛みを感じるとのことで来院された患者様です。
診査をしたところ、レントゲン写真よりとても大きなむし歯があることが分かりました。
虫歯が歯髄腔(神経の部屋)に達している可能性が非常に高かったため、炎症を起こしている神経組織を部分的に切除し、歯根部分の神経組織を保存する治療法が望ましいと考えられました。
- 費用(概算)
- 治療費の目安: 14万円費用は治療当時の料金となります
治療について
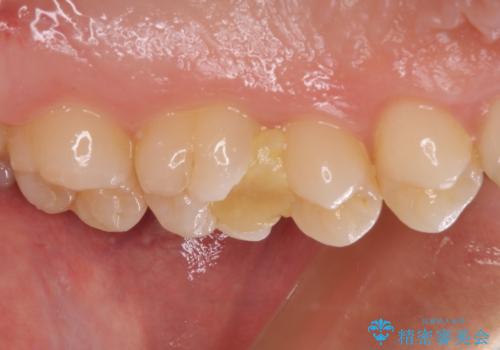
処置開始前から神経組織を部分的に除去する可能性が高いことが分かっていたため、ラバーダムなどの環境を整え、無菌的環境下にて処置を進めて行きました。
虫歯は深くまで進行しており、歯冠部の神経から出血が認められました。神経を部分的に除去したところ出血が治まったので、生体親和性の非常に高いセメントにて充填し、仮封をしました。
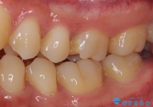
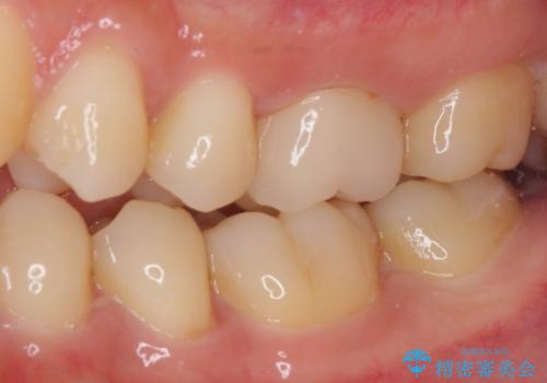
後日状態を確認したところ、残された神経に異常がなかったため、セラミッククラウンにて補綴治療を行いました。
セラミック治療の注意事項(リスク・副作用など)
- 天然歯を削ります
- 硬い素材は天然歯を傷つけてしまう場合があります
- かみ合わせや歯ぎしりが強すぎる方はセラミックが割れてしまう可能性があります
- 自費診療(保険適用外治療)となります
当サイトの内容、テキスト、画像等の無断転載、複製、複写、盗用を固く禁じます。










