症例詳細
Case detail
痛くてかめない 根管治療とオールセラミッククラウン
治療症例の内容
- 診療科目
- 治療カテゴリ
- 担当医
- 藤巻太一朗(ドクタープロフィール)
- 患者様
- 50代女性
- 治療期間
- 3ヶ月
- 治療回数
- 2-5回
- 治療計画
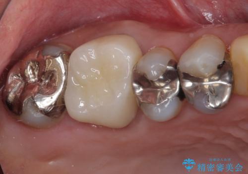
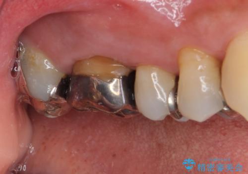
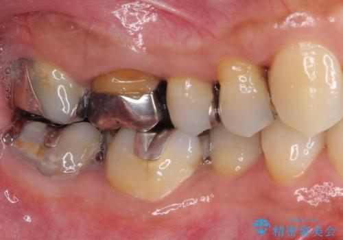
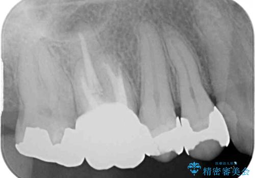
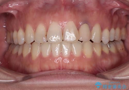
- 右上の小臼歯部に咬んだときに強い痛みを感じるとのことで来院された患者様です。
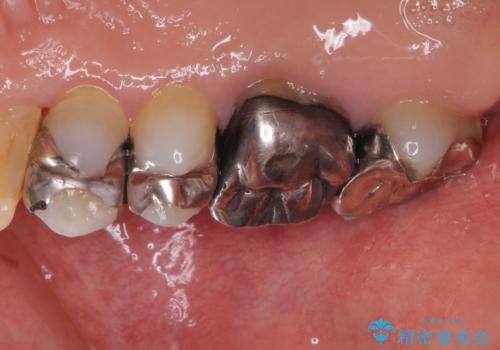
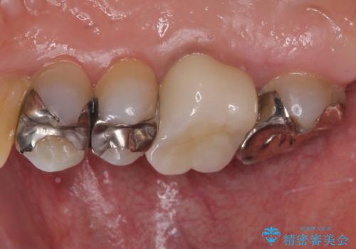
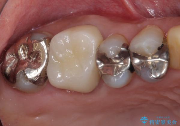
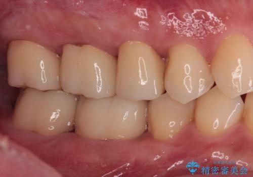
診査を行った結果、根管治療を行った後にオールセラミッククラウンにて補綴する治療計画となりました。
- 費用(概算)
- 治療費の目安: 23万円費用は治療当時の料金となります
治療について
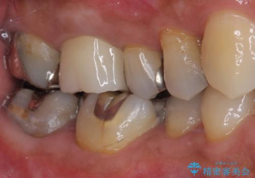
咬んだときの痛みに加えて夜間のズキズキする痛みもありましたが、1回目の根管治療実施後間もなく咬んだときの痛みがなくなったので、2回目に根管充填を行いました。
セラミック治療の注意事項(リスク・副作用など)
- 天然歯を削ります
- 硬い素材は天然歯を傷つけてしまう場合があります
- かみ合わせや歯ぎしりが強すぎる方はセラミックが割れてしまう可能性があります
- 自費診療(保険適用外治療)となります
当サイトの内容、テキスト、画像等の無断転載、複製、複写、盗用を固く禁じます。










