症例詳細
Case detail
口元の突出感を改善 ワイヤー装置による抜歯矯正
治療症例の内容
- 診療科目
- 担当医
- 藤巻太一朗(ドクタープロフィール)
- 患者様
- 20代女性
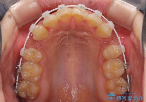
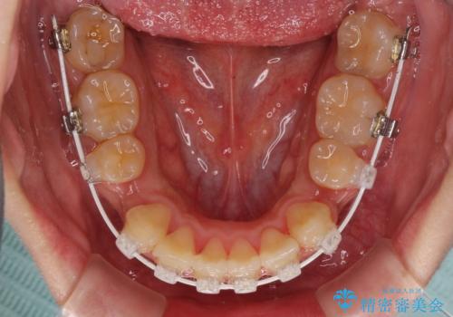
- 矯正装置
- 審美装置
- 治療期間
- 1年11ヶ月
- 治療回数
- 10-30回
- 治療計画
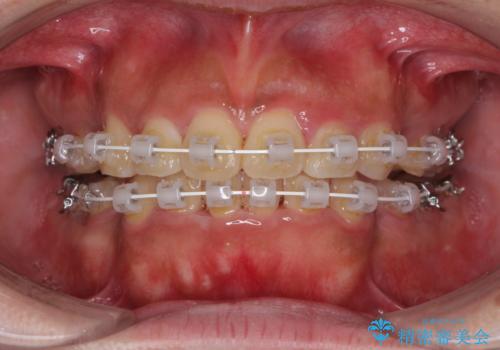
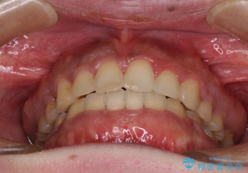
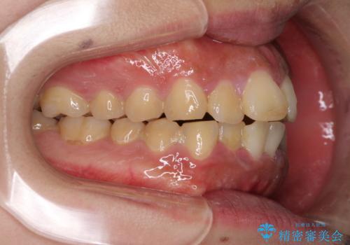
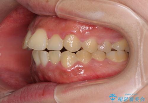
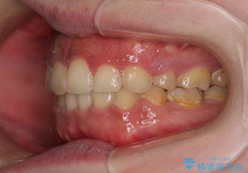
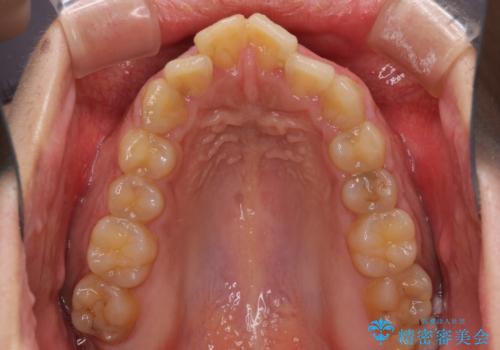
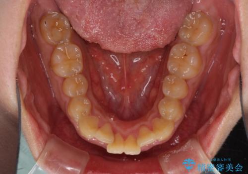
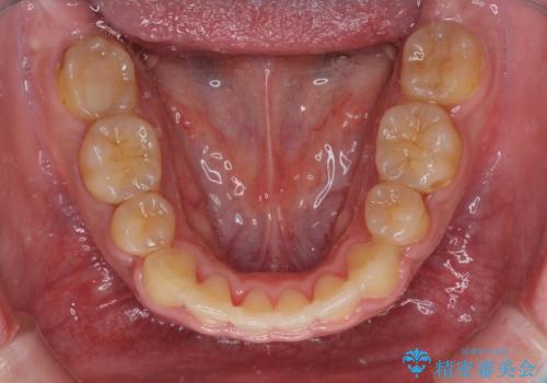
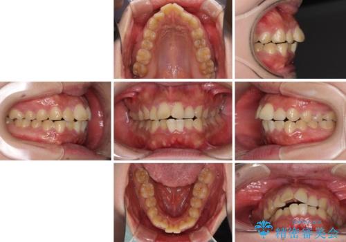
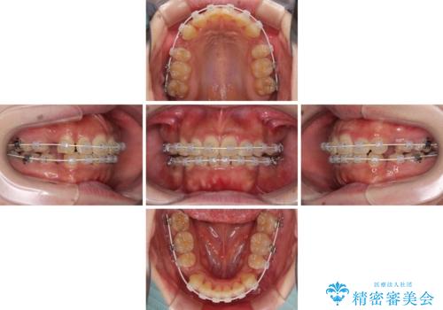
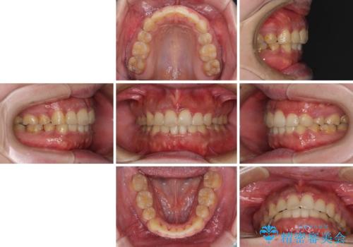
- 口元の突出感と上下前歯のでこぼこを気にして来院された患者様です。
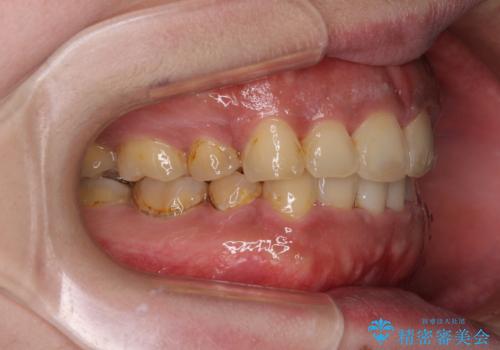
上下前歯部叢生のスペース獲得のため、上下顎左右小臼歯各1歯(計4本)を抜歯して、矯正治療を行うこととしました。
- 費用(概算)
- 治療費の目安: 90万円費用は治療当時の料金となります
治療について
口腔内の清掃性に問題があり、虫歯のリスクが極めて高かったため、短期で治療を終えることを最優先に治療を進めました。
ワイヤー矯正の注意事項(リスク・副作用など)
- 治療中は違和感や痛みが起こることがあります
- 症状により、抜歯が必要な場合があります
- 治療中は歯磨きがしにくくなるため、虫歯や歯周病になりやすくなります
- 矯正治療後の保定が不十分だと後戻り(元の位置に戻ろうとする動き)をします
- 自費診療(保険適用外)となります
当サイトの内容、テキスト、画像等の無断転載、複製、複写、盗用を固く禁じます。


























