症例詳細
Case detail
閉じにくい口元を改善したい ワイヤー装置での抜歯矯正
治療症例の内容
- 診療科目
 
- 治療カテゴリ
 
- 担当医
 - 藤巻太一朗(ドクタープロフィール)
 
- 患者様
 - 50代女性
 
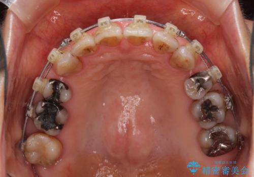
- 矯正装置
 - クリアブラケット
 
- 治療期間
 - 2年7ヶ月
 
- 治療回数
 - 10-30回
 
- 治療計画
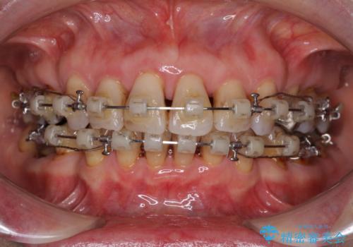
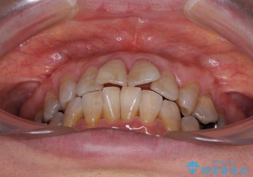
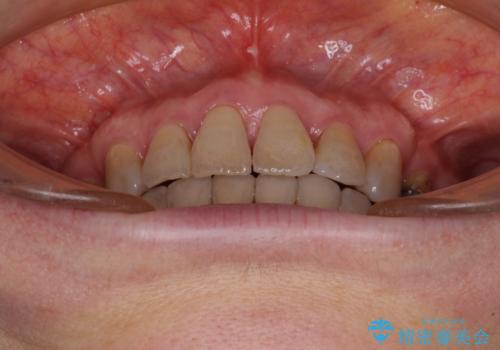
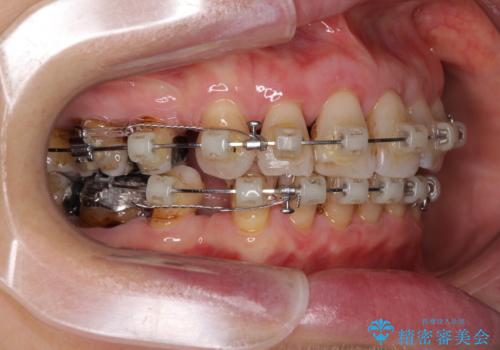
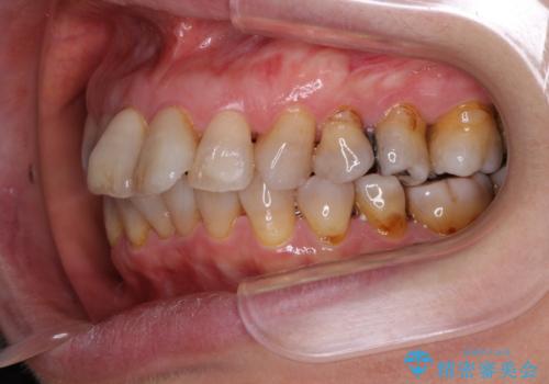
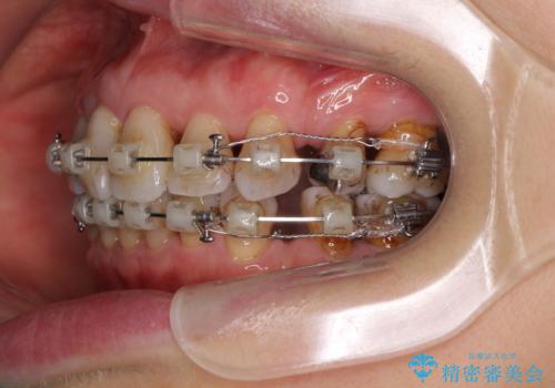
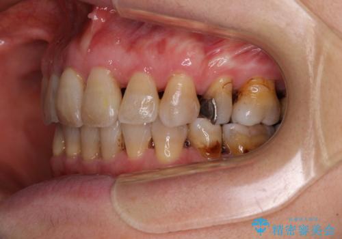
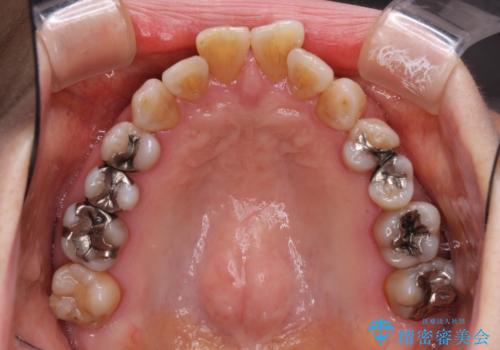
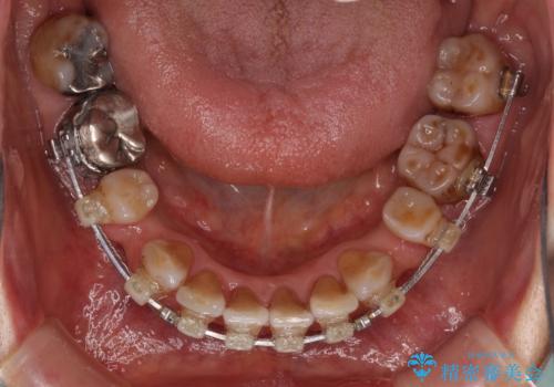
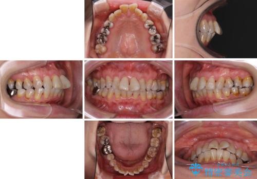
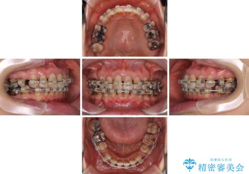
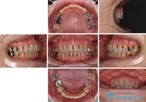
 - 突出した口元を引っ込めることを希望して来院された患者様です。
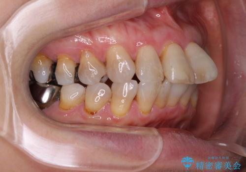
上下左右第一小臼歯4本を抜歯して、口元を改善するワイヤー矯正を行うこととしました。 
- 費用(概算)
 - 治療費の目安: 90万円費用は治療当時の料金となります
 
治療について
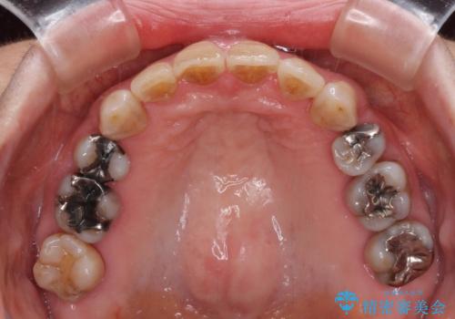
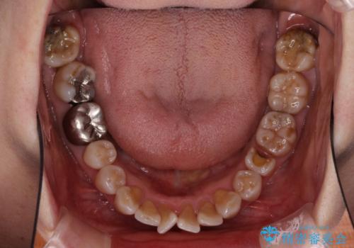
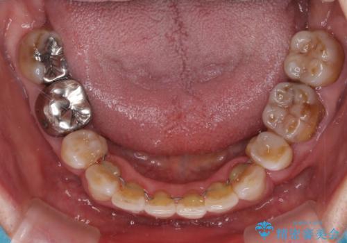
長年気にされていた口元の突出感が改善されたため、もっと若い時分に矯正をすればよかったと思われていました。
ワイヤー矯正の注意事項(リスク・副作用など)
- 治療中は違和感や痛みが起こることがあります
 - 症状により、抜歯が必要な場合があります
 - 治療中は歯磨きがしにくくなるため、虫歯や歯周病になりやすくなります
 - 矯正治療後の保定が不十分だと後戻り(元の位置に戻ろうとする動き)をします
 - 自費診療(保険適用外)となります
 
当サイトの内容、テキスト、画像等の無断転載、複製、複写、盗用を固く禁じます。

                      
                                                          
























