症例詳細
Case detail
形が気に入らない 奥歯のオールセラミッククラウン
治療症例の内容
- 診療科目
- 治療カテゴリ
- 担当医
- 藤巻太一朗(ドクタープロフィール)
- 患者様
- 30代女性
- 治療期間
- 1ヶ月
- 治療回数
- 2-5回
- 治療計画
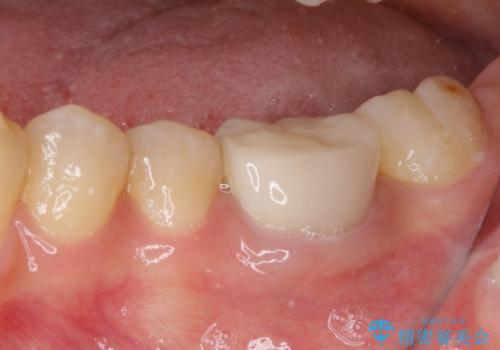
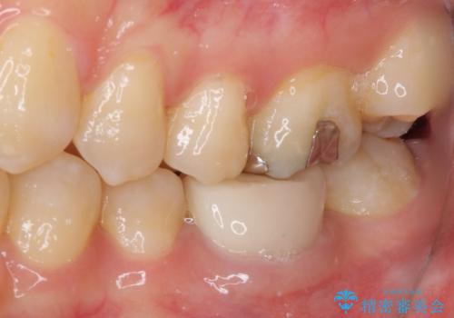
- 奥歯の形が気に入らないとのことで来院された患者様です。
形の変更を希望して、即日装着可能な歯科医院にて治療をしたそうですが、思い通りの形にできなかったとのことでした。
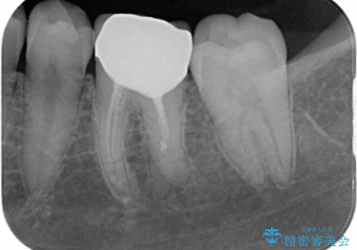
修正可能なように、従来通り技工所に発注して製作するオールセラミッククラウンにて補綴することとしました。
- 費用(概算)
- 治療費の目安: 14万円費用は治療当時の料金となります
治療について
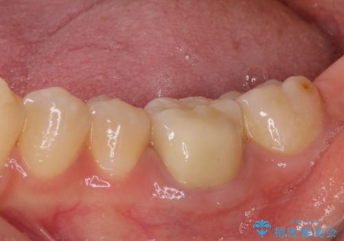
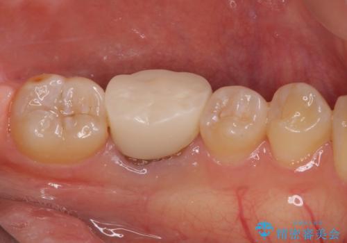
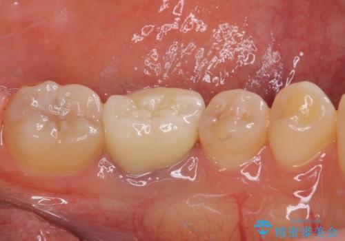
仮歯に置き換えた時点で希望に近い形態とできたので、その形を踏襲してオールセラミッククラウンを製作してもらいました。
気になっていた形が改善され、色調も自然なものとなったので、患者様には大変満足していただきました。
セラミック治療の注意事項(リスク・副作用など)
- 天然歯を削ります
- 硬い素材は天然歯を傷つけてしまう場合があります
- かみ合わせや歯ぎしりが強すぎる方はセラミックが割れてしまう可能性があります
- 自費診療(保険適用外治療)となります
当サイトの内容、テキスト、画像等の無断転載、複製、複写、盗用を固く禁じます。










