症例詳細
Case detail
矯正しても虫歯が気になる 前歯のオールセラミッククラウン
治療症例の内容
- 診療科目
- 治療カテゴリ
- 担当医
- 藤巻太一朗(ドクタープロフィール)
- 患者様
- 30代女性
- 治療期間
- 2ヶ月
- 治療回数
- 2-5回
- 治療計画
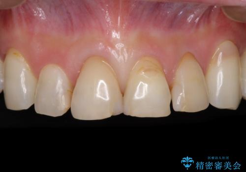
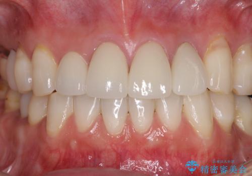
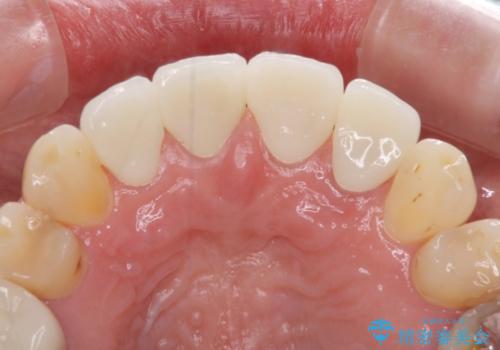
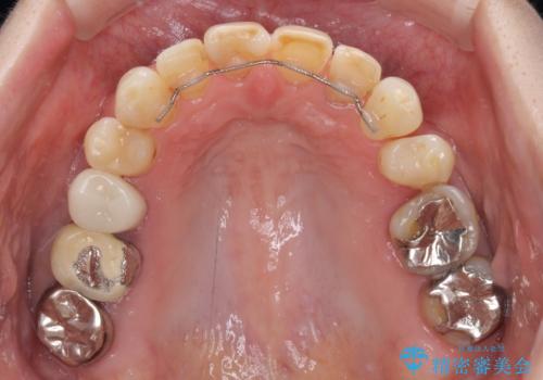
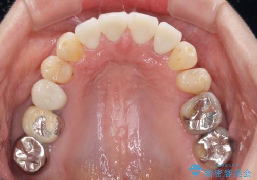
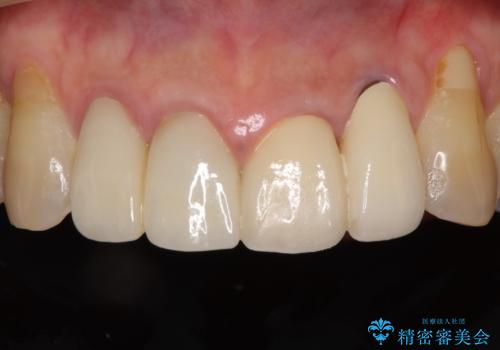
- 前歯の虫歯や治療跡が気になるとのことで来院された患者様です。
以前矯正治療をされ、その時には歯列が整ったので満足されたそうですが、若干の後戻りにより隙間ができ、矯正治療前に治療していた虫歯の跡が気になったため、オールセラミックによる審美治療を希望されました。
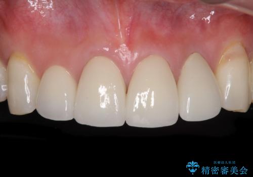
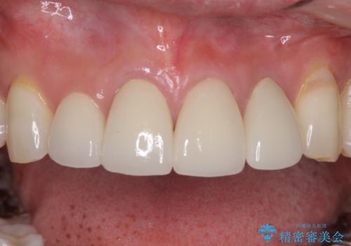
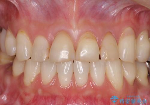
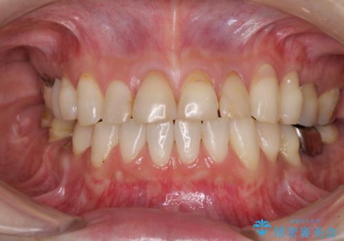
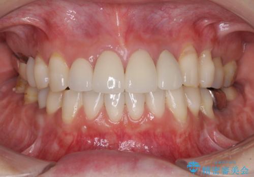
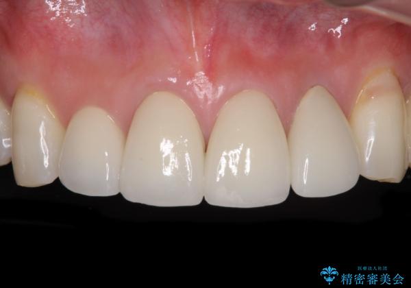
目立つ範囲である前歯4歯をオールセラミッククラウンにて補綴することとしました。
- 費用(概算)
- 治療費の目安: 46万円費用は治療当時の料金となります
治療について
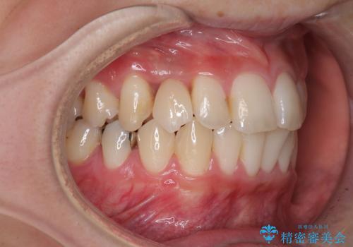
口元の印象が明るくなり、人前で気にせずに笑えるようになりました。
セラミック治療の注意事項(リスク・副作用など)
- 天然歯を削ります
- 硬い素材は天然歯を傷つけてしまう場合があります
- かみ合わせや歯ぎしりが強すぎる方はセラミックが割れてしまう可能性があります
- 自費診療(保険適用外治療)となります
当サイトの内容、テキスト、画像等の無断転載、複製、複写、盗用を固く禁じます。














