症例詳細
Case detail
保険診療で装着した奥歯の白いクラウン 痛みが続くためセラミッククラウンへ
治療症例の内容
- 診療科目
- 治療カテゴリ
- 担当医
- 藤巻太一朗(ドクタープロフィール)
- 患者様
- 20代男性
- 治療期間
- 1ヶ月
- 治療回数
- 2-5回
- 治療計画
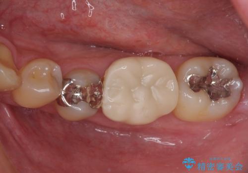
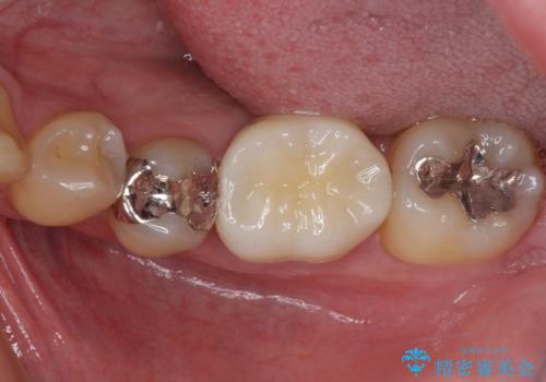
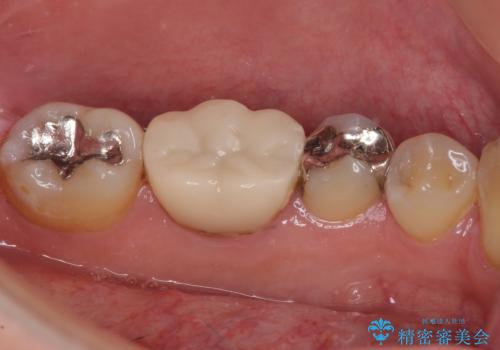
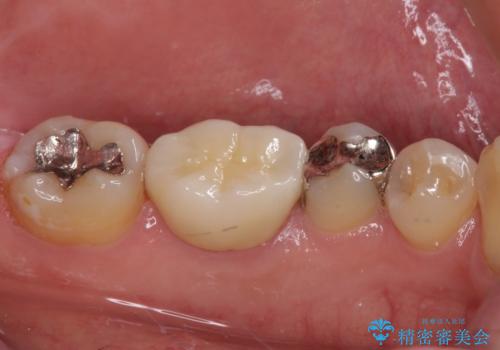
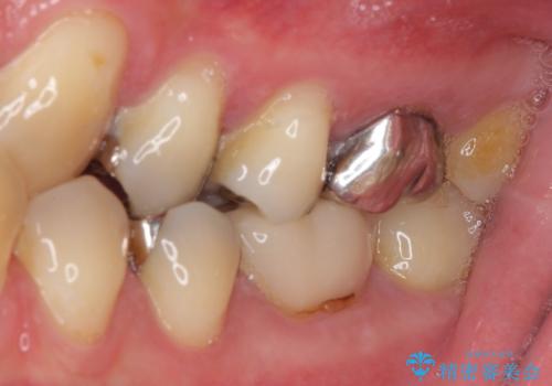
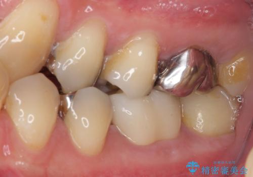
- 保険診療で装着した奥歯の白いクラウンの具合がよくないとのことで来院された患者様です。
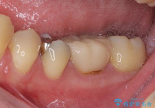
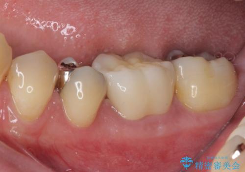
保険診療で安価に白いクラウンが入れられるということで選択されたそうですが、装着後に痛みを感じたり、ものが挟まって不快であったりと不便が多いため、セラミッククラウンにて補綴治療を行うこととしました。
- 費用(概算)
- 治療費の目安: 8万円費用は治療当時の料金となります
治療について
保険診療では、安価に白いクラウンを装着できる代償として、歯とクラウンの境目が不適合であったり、歯と歯の間にものが挟まりやすかったりと、不快な思いをされることがしばしばあります。
自費診療は、費用が高くなりますが、よい材料を選択したり、診療時間を十分にとったりできるため、単純に白いだけではない、良質なクラウンを装着することが可能です。
セラミック治療の注意事項(リスク・副作用など)
- 天然歯を削ります
- 硬い素材は天然歯を傷つけてしまう場合があります
- かみ合わせや歯ぎしりが強すぎる方はセラミックが割れてしまう可能性があります
- 自費診療(保険適用外治療)となります
当サイトの内容、テキスト、画像等の無断転載、複製、複写、盗用を固く禁じます。










