症例詳細
Case detail
痛みを感じる奥歯 根管治療とインプラント治療
治療症例の内容
- 担当医
- 藤巻太一朗(ドクタープロフィール)
- 患者様
- 40代女性
- 治療期間
- 1年2ヶ月
- 治療回数
- 5-10回
- 治療計画
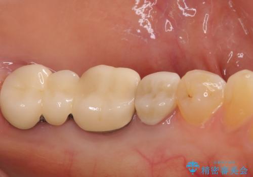
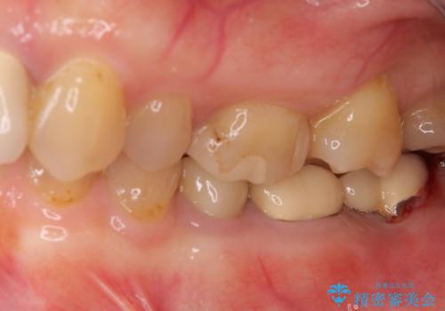
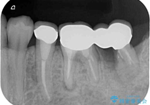
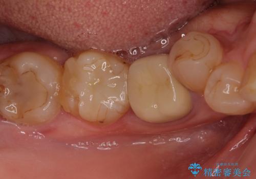
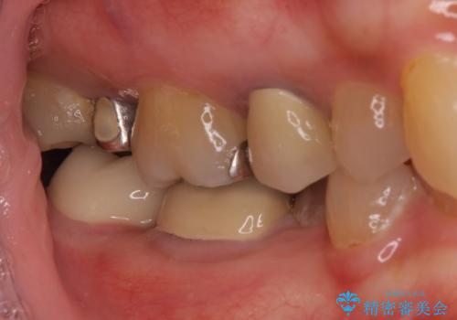
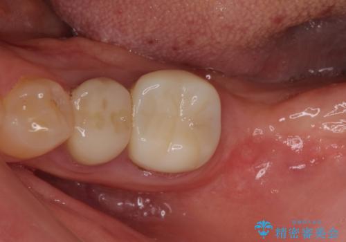
- 抜歯が必要と診断された奥歯の治療を希望して来院された患者様です。
一番奥の歯は歯根の一部を残した状態で、手前の歯とブリッジが装着されていました。
奥歯は歯根周辺の歯槽骨が広範囲に失われており、抜歯が必要と判断されました。
ブリッジの手前側の歯は、根管治療が必要な状態でした。
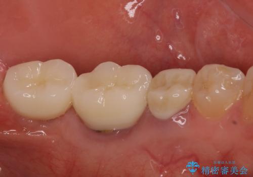
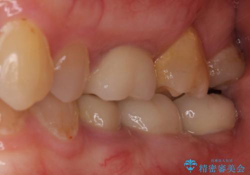
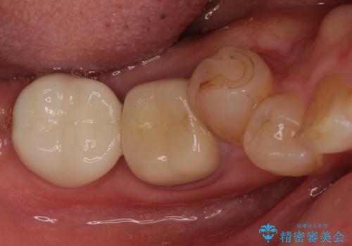
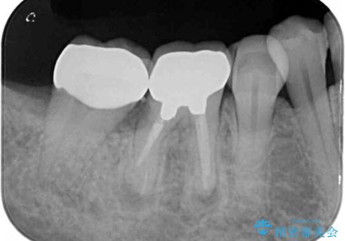
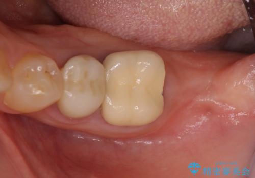
手前は根管治療後に補綴治療を、奥は骨造成後にインプラント埋入し、手前の歯と同時に補綴治療を行うこととしました。
- 費用(概算)
- 治療費の目安: 80万円費用は治療当時の料金となります
治療について
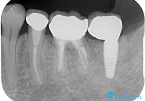
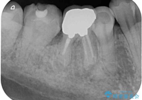
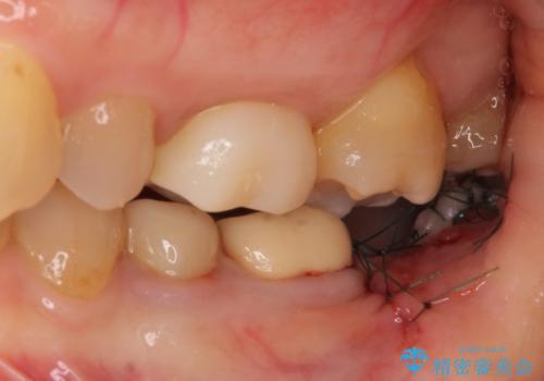
根管治療を行ったは、以前の治療で開けられて思われる穴が歯の内部に開けられており、炎症を起こしていました。
根管治療と合わせて、穴の開けられている部分を修復したところ、炎症による歯槽骨吸収に改善が見られました。
インプラント埋入にあたり、歯槽骨での炎症が広範囲であったことから、事前に骨造成を行いました。
歯槽骨の高さや幅を回復することができ、望ましい位置にインプラントを埋入することができました。
セラミック治療の注意事項(リスク・副作用など)
- 天然歯を削ります
- 硬い素材は天然歯を傷つけてしまう場合があります
- かみ合わせや歯ぎしりが強すぎる方はセラミックが割れてしまう可能性があります
- 自費診療(保険適用外治療)となります
インプラント治療の注意事項(リスク・副作用など)
- 外科手術のため、術後に痛みや腫れ、違和感を伴います
- メンテナンスを怠ったり喫煙により、お口の中に大きな悪影響を及ぼすインプラント周囲炎等にかかる可能性があります
- 糖尿病、肝硬変、心臓病等の場合、インプラント治療ができない可能性があります
- 高血圧、貧血・不整脈等の場合、インプラント治療後に治癒不全を招く可能性があります
- 自費診療(保険適用外治療)となります
当サイトの内容、テキスト、画像等の無断転載、複製、複写、盗用を固く禁じます。



























