症例詳細
Case detail
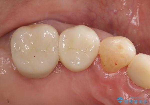
歯周病の進行した歯の抜歯。オールセラミッククラウン
治療症例の内容
- 診療科目
- 治療カテゴリ
- 担当医
- 河口智英(ドクタープロフィール)
- 患者様
- 40代女性
- 治療期間
- 1年
- 治療回数
- 5-10回
- 治療計画
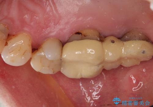
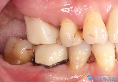
- 以前に他院にて治療した歯が痛いことを主訴に来院されました。
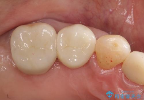
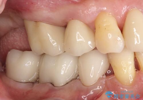
最後方臼歯は根尖部まで歯周病が進行しており、抜歯を行なったのち、残存歯は歯周外科を行なったのちオールセラミッククラウンにて修復治療を行なっています。
- 費用(概算)
- 40万円費用は治療当時の料金となります
治療について
歯周外科を行う事により歯周ポケットを除去し予知性の高い治療を行うことができますが治療期間がかかります。
セラミック治療の注意事項(リスク・副作用など)
- 天然歯を削ります
- 硬い素材は天然歯を傷つけてしまう場合があります
- かみ合わせや歯ぎしりが強すぎる方はセラミックが割れてしまう可能性があります
- 自費診療(保険適用外治療)となります
当サイトの内容、テキスト、画像等の無断転載、複製、複写、盗用を固く禁じます。









