症例詳細
Case detail
前歯の変色 オールセラミッククラウン
治療症例の内容
- 診療科目
 
- 治療カテゴリ
 
- 担当医
 - 河口智英(ドクタープロフィール)
 
- 患者様
 - 20代女性
 
- 治療期間
 - 3ヶ月
 
- 治療回数
 - 2-5回
 
- 治療計画
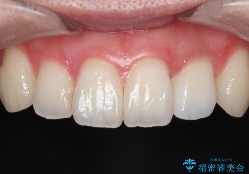
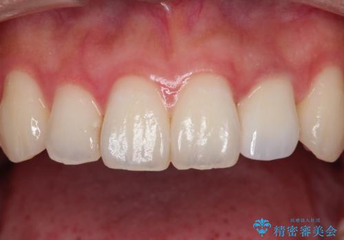
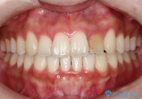
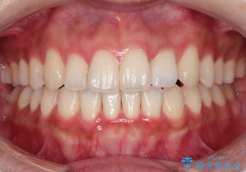
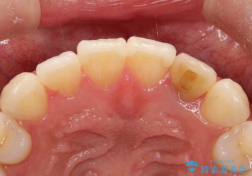
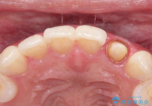
 - 前歯の変色を主訴に来院されました。
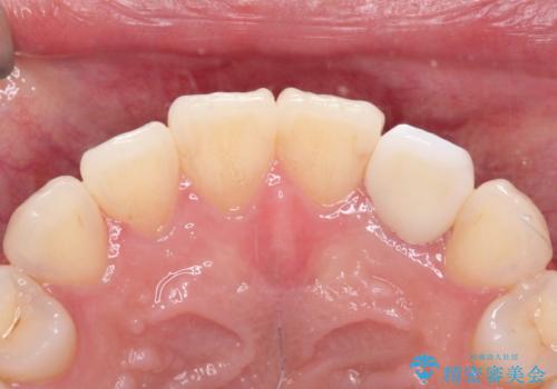
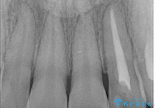
根管治療後、オールセラミッククラウン(エクセレント)にて治療を行なっています。 
- 費用(概算)
 - 31万円費用は治療当時の料金となります
 
治療について
オールセラミッククラウン(エクセレント)は、技工士さんが立会う事で色調や形態の相談を行うことができ、満足度の高い治療を行うことができます。
セラミック治療の注意事項(リスク・副作用など)
- 天然歯を削ります
 - 硬い素材は天然歯を傷つけてしまう場合があります
 - かみ合わせや歯ぎしりが強すぎる方はセラミックが割れてしまう可能性があります
 - 自費診療(保険適用外治療)となります
 
当サイトの内容、テキスト、画像等の無断転載、複製、複写、盗用を固く禁じます。

                      
                                                          









