症例詳細
Case detail
老朽化した前歯のセラミック治療やりかえ
治療症例の内容
- 診療科目
- 治療カテゴリ
- 担当医
- 大元洋佑(ドクタープロフィール)
- 患者様
- 50代女性
- 治療期間
- 6ヶ月
- 治療回数
- 2-5回
- 治療計画
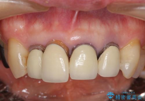
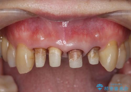
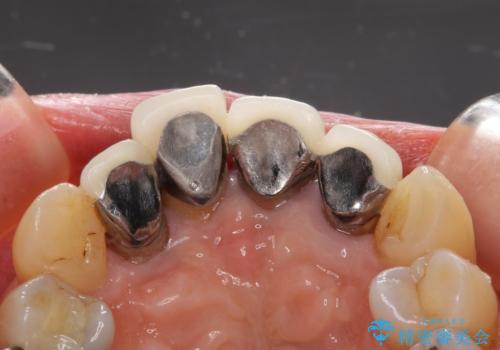
- 20年前に治療した前歯のセラミッククラウンが老朽化し見た目の改善を求めて来院されました。
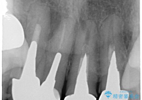
不十分な根管治療を含めたセラミッククラウンのやりかえ治療を計画します。
- 費用(概算)
- 52万円(仮歯・ファイバーコア・ジルコニアクラウン×4)費用は治療当時の料金となります
セラミック治療について
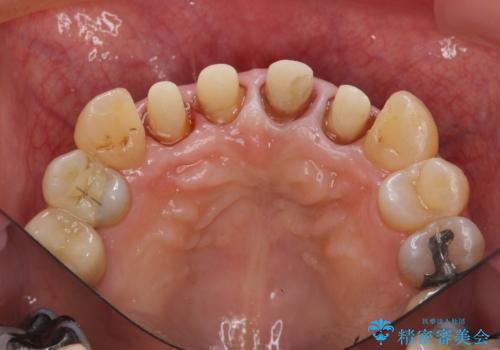
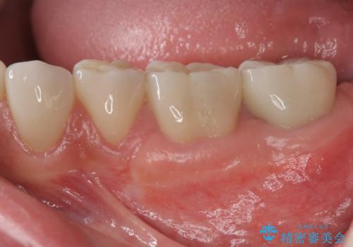
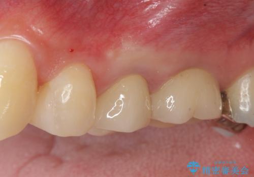
クラウン治療は経年的に歯ぐきの位置が変わり汚れが溜まってしまったり、見た目が悪くなるなどの問題が出てくることがあります。
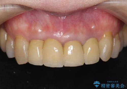
現在の歯ぐきの位置できっちりと仕上げることで見た目の改善が達成されました。
セラミック治療の注意事項(リスク・副作用など)
- 天然歯を削ります
- 硬い素材は天然歯を傷つけてしまう場合があります
- かみ合わせや歯ぎしりが強すぎる方はセラミックが割れてしまう可能性があります
- 自費診療(保険適用外治療)となります
当サイトの内容、テキスト、画像等の無断転載、複製、複写、盗用を固く禁じます。









