症例詳細
Case detail
放置した虫歯 根管治療 フルジルコニアクラウン
治療症例の内容
- 診療科目
- 治療カテゴリ
- 担当医
- 大元洋佑(ドクタープロフィール)
- 患者様
- 40代女性
- 治療期間
- 6ヶ月
- 治療回数
- 2-5回
- 治療計画
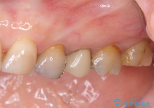
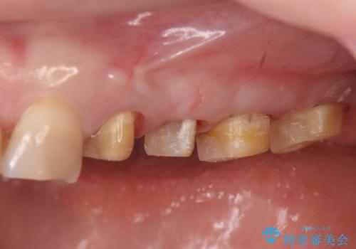
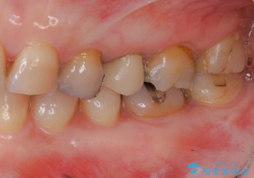
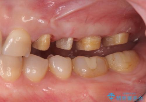
- 虫歯治療を途中で中断し放置した歯の治療再開を希望され来院されました。
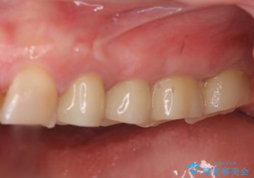
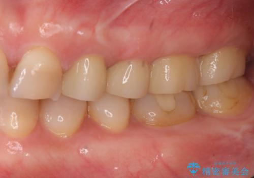
樹脂やクラウン・銀歯の老朽化がみられるため、丁寧に除去を行い根管治療を行ったのち、歯軋り・厚みの少なさを鑑みフルジルコニアクラウンによる補綴を計画します。
- 費用(概算)
- 38万円(仮歯・ファイバーコア・フルジルコニアクラウン×4)費用は治療当時の料金となります
治療の中断について
治療を途中で中断するとよりより虫歯の進行が加速したり最悪歯を残すことが難しくなることもあります。
セラミック治療の注意事項(リスク・副作用など)
- 天然歯を削ります
- 硬い素材は天然歯を傷つけてしまう場合があります
- かみ合わせや歯ぎしりが強すぎる方はセラミックが割れてしまう可能性があります
- 自費診療(保険適用外治療)となります
当サイトの内容、テキスト、画像等の無断転載、複製、複写、盗用を固く禁じます。












