症例詳細
Case detail
口の中の金属を外したい セラミッククラウンによる治療
治療症例の内容
- 診療科目
- 治療カテゴリ
- 担当医
- 大元洋佑(ドクタープロフィール)
- 患者様
- 40代女性
- 治療期間
- 2ヶ月
- 治療回数
- 2-5回
- 治療計画
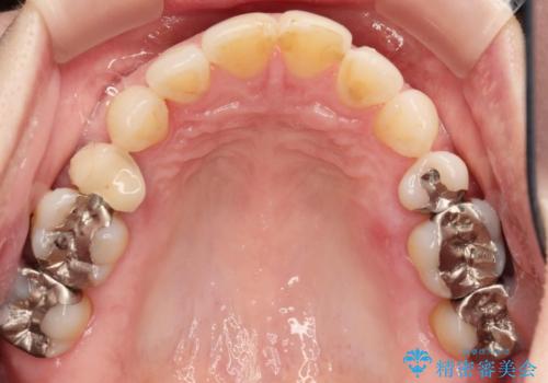
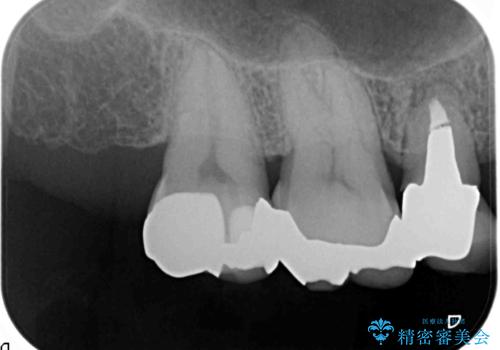
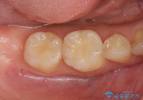
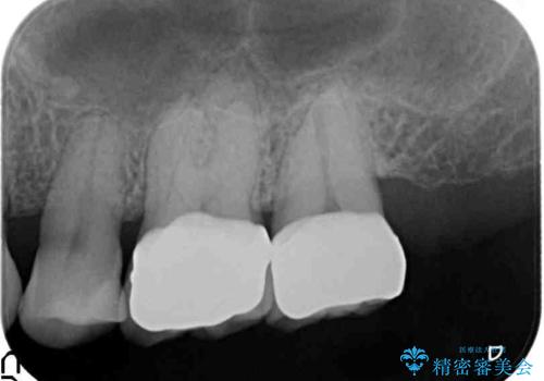
- 笑った時に口の中で目立つ金属を外したい、虫歯の治療を再発の内容しっかりと行って欲しいと希望され来院されました。
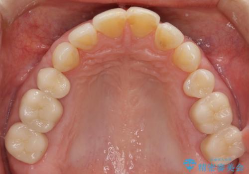
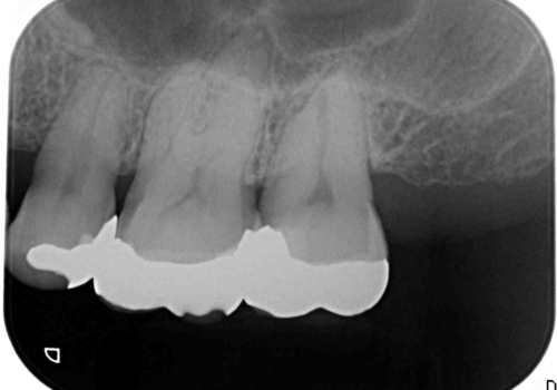
銀歯・虫歯を丁寧に除去したのち精密なセラミック治療を行うことで長期的な予後を目指します。
- 費用(概算)
- 57万円(仮歯・ファイバーコア・ジルコニアクラウン×5)費用は治療当時の料金となります
セラミック治療について
銀歯をを外すだけでなく、セラミックを適合よく精密に製作することで長期的な予後を見込むことが可能になります。
セラミック治療の注意事項(リスク・副作用など)
- 天然歯を削ります
- 硬い素材は天然歯を傷つけてしまう場合があります
- かみ合わせや歯ぎしりが強すぎる方はセラミックが割れてしまう可能性があります
- 自費診療(保険適用外治療)となります
当サイトの内容、テキスト、画像等の無断転載、複製、複写、盗用を固く禁じます。






