症例詳細
Case detail
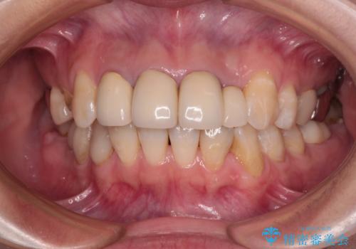
ラミネートの前歯をオールセラミッククラウンで自然に
治療症例の内容
- 診療科目
- 治療カテゴリ
- 担当医
- 藤巻太一朗(ドクタープロフィール)
- 患者様
- 30代男性
- 治療期間
- 3ヶ月
- 治療回数
- 2-5回
- 治療計画
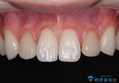
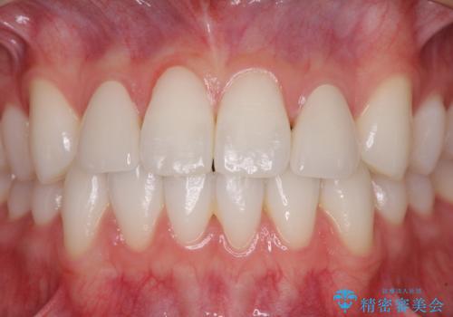
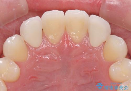
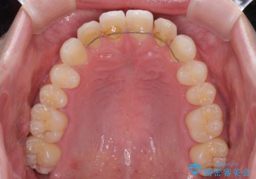
- 前歯のラミネートベニアの不自然な色合いを気にして来院された患者様です。
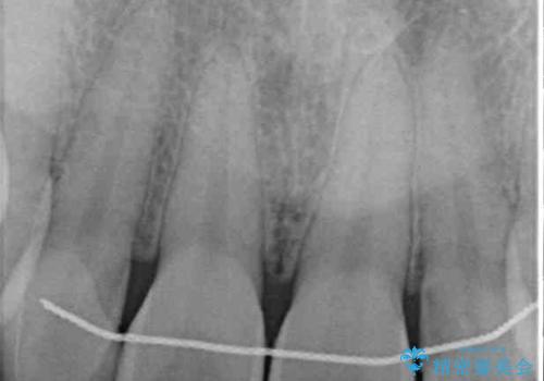
矯正治療後戻り防止のワイヤー周りにむし歯があったため、オールセラミッククラウンにて補綴することとしました。
- 費用(概算)
- 治療費の目安: 22万円費用は治療当時の料金となります
治療について
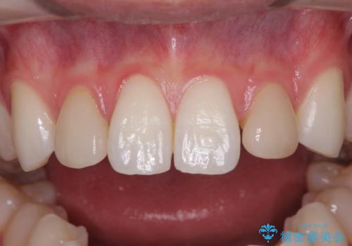
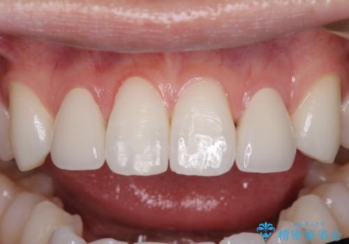
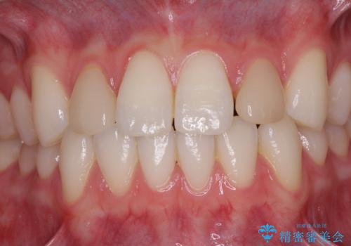
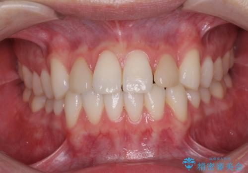
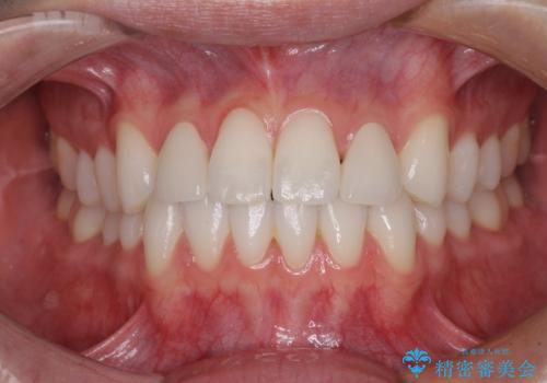
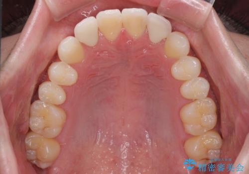
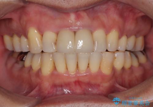
ホワイトニングを併用し、治療前と比べて自然でとても明るい口元となりました。
セラミック治療の注意事項(リスク・副作用など)
- 天然歯を削ります
- 硬い素材は天然歯を傷つけてしまう場合があります
- かみ合わせや歯ぎしりが強すぎる方はセラミックが割れてしまう可能性があります
- 自費診療(保険適用外治療)となります
当サイトの内容、テキスト、画像等の無断転載、複製、複写、盗用を固く禁じます。














