症例詳細
Case detail
[前歯 セラミック治療] すぐに前歯が取れる きちんと治療して欲しい
治療症例の内容
- 担当医
- 大元洋佑(ドクタープロフィール)
- 患者様
- 60代男性
- 治療期間
- 2ヶ月
- 治療回数
- 2-5回
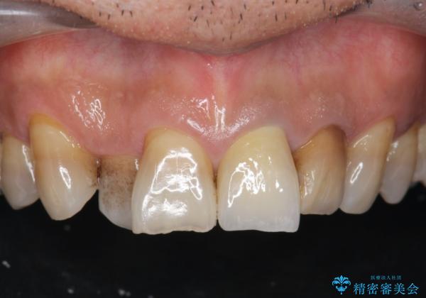
- 治療計画
- 他院で前歯の治療を繰り返し行うものの、クラウン・コアの脱離が頻回に起きやり直しのない治療を求めて来院されました。
脱離により感染のうかがわれる根管内は再根管治療を行い、ラバーダムを行い防湿下でファイバーコア築盛を行うことで脱離への抵抗性を高めます。
- 費用(概算)
- 16万円(仮歯・ファイバーコア・ジルコニアクラウンスペシャル)費用は治療当時の料金となります
治療について
歯肉縁上の歯質が少ない場合脱離や破折リスクが高まるためコアの丁寧な築盛や綿密な咬合調整が必要です。
セラミック治療の注意事項(リスク・副作用など)
- 天然歯を削ります
- 硬い素材は天然歯を傷つけてしまう場合があります
- かみ合わせや歯ぎしりが強すぎる方はセラミックが割れてしまう可能性があります
- 自費診療(保険適用外治療)となります
根管治療の注意事項(リスク・副作用など)
- 根管治療により類似の全ての症例の問題が解決するわけではなく、症例はあくまでも一例です
- 根管治療により痛みや腫れがひかない事や、術後に痛みや腫れが生じる事、治療によるファイル破折やパーフォレーションなどの偶発症、術後の歯根破折を生じる可能性もあります
- 自費診療(保険適用外)となります
当サイトの内容、テキスト、画像等の無断転載、複製、複写、盗用を固く禁じます。

![[前歯 セラミック治療] すぐに前歯が取れる きちんと治療して欲しいの治療前](https://seimitsushinbi.jp/wp/wp-content/uploads/2021/01/9e6ce61e0bdd79ba9b3792484754c3e3-500x350.jpg?v=1609914925)
![[前歯 セラミック治療] すぐに前歯が取れる きちんと治療して欲しいの治療中](https://seimitsushinbi.jp/wp/wp-content/uploads/2021/01/CI2-2-500x350.jpg?v=1609918880)
![[前歯 セラミック治療] すぐに前歯が取れる きちんと治療して欲しいの治療後](https://seimitsushinbi.jp/wp/wp-content/uploads/2021/01/1c3b62c3a0de497eade34ec62d821d52-500x350.jpg?v=1609914963)
![[前歯 セラミック治療] すぐに前歯が取れる きちんと治療して欲しいの治療前](https://seimitsushinbi.jp/wp/wp-content/uploads/2021/01/CI1-1-500x350.jpg?v=1609918878)
![[前歯 セラミック治療] すぐに前歯が取れる きちんと治療して欲しいの治療中](https://seimitsushinbi.jp/wp/wp-content/uploads/2021/01/CI4-1-500x350.jpg?v=1609918881)
![[前歯 セラミック治療] すぐに前歯が取れる きちんと治療して欲しいの治療後](https://seimitsushinbi.jp/wp/wp-content/uploads/2021/01/CI5-1-500x350.jpg?v=1609918883)
![[前歯 セラミック治療] すぐに前歯が取れる きちんと治療して欲しいの治療前](https://seimitsushinbi.jp/wp/wp-content/uploads/2021/01/12858a816ce5ea9778b497b5bf5a6c9d-500x350.jpg?v=1609919784)
![[前歯 セラミック治療] すぐに前歯が取れる きちんと治療して欲しいの治療中](https://seimitsushinbi.jp/wp/wp-content/uploads/2021/01/b86d3e6da1274715d34c64e0a7a51134-500x350.jpg?v=1609914940)
![[前歯 セラミック治療] すぐに前歯が取れる きちんと治療して欲しいの治療後](https://seimitsushinbi.jp/wp/wp-content/uploads/2021/01/d10518d03cf8bcd8937174bd43aeee38-500x350.jpg?v=1609914958)
![[前歯 セラミック治療] すぐに前歯が取れる きちんと治療して欲しいの治療前](https://seimitsushinbi.jp/wp/wp-content/uploads/2021/01/52b51e409f6aa0bddb0b87173da549b8-500x350.jpg?v=1609914920)
![[前歯 セラミック治療] すぐに前歯が取れる きちんと治療して欲しいの治療後](https://seimitsushinbi.jp/wp/wp-content/uploads/2021/01/31002c76acc1314b506dfe75973076b3-500x350.jpg?v=1609914968)
![[前歯 セラミック治療] すぐに前歯が取れる きちんと治療して欲しいの治療前](https://seimitsushinbi.jp/wp/wp-content/uploads/2021/01/433f8e03f0c7a6433fd58a0185f46029-500x350.jpg?v=1609914930)
![[前歯 セラミック治療] すぐに前歯が取れる きちんと治療して欲しいの治療後](https://seimitsushinbi.jp/wp/wp-content/uploads/2021/01/c5920a0554761a549ef546d6ec5a0c0b-500x350.jpg?v=1609914952)
![[前歯 セラミック治療] すぐに前歯が取れる きちんと治療して欲しいの治療前](https://seimitsushinbi.jp/wp/wp-content/uploads/2021/01/014b51665bb653152b33aab2ab4f1824-500x350.jpg?v=1609914935)
![[前歯 セラミック治療] すぐに前歯が取れる きちんと治療して欲しいの治療後](https://seimitsushinbi.jp/wp/wp-content/uploads/2021/01/07a52312604db2c064cbd477d258e207-500x350.jpg?v=1609914945)