症例詳細
Case detail
【非抜歯矯正】できる限り前歯を引っ込めたい
治療症例の内容
- 診療科目
- 担当医
- 河口智英(ドクタープロフィール)
- 患者様
- 20代女性
- 矯正装置
- インビザライン+ワイヤー
- 治療期間
- 2年
- 治療回数
- 10-30回
- 治療計画
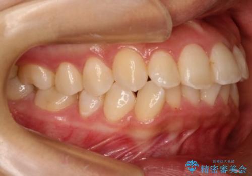
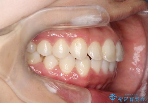
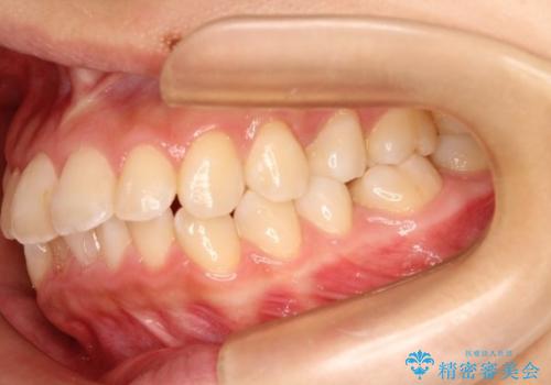
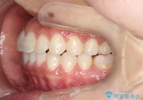
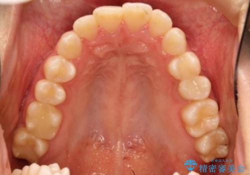
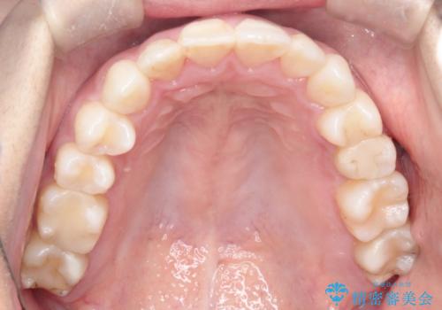
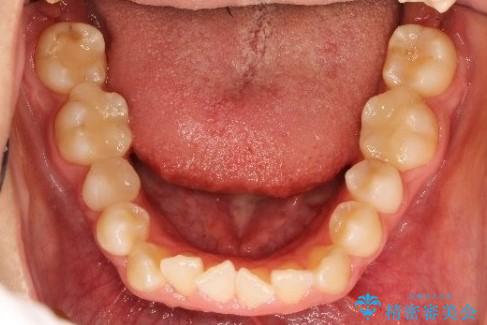
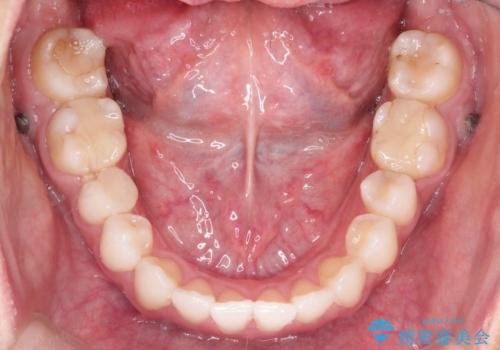
- 前歯の凸凹を主訴に来院されました。
非抜歯の範囲でできるだけ前歯を下げることを希望されたため、IPRと臼歯部の遠心移動を行い治療を行いました。当初はインビザラインで治療を行っておりましたが、使用時間を十分に確保できないことで途中からワイヤーを使用しております。
- 費用(概算)
- 110万円費用は治療当時の料金となります
治療について
インビザラインは使用時間が不足し治療計画に支障が出る場合、ワイヤーを使用せざる得ない場合があります。(追加の治療費が必要)
マウスピース矯正の注意事項(リスク・副作用など)
- 口腔内・歯並びの状態によっては対応できない場合があります
- マウスピース型矯正装置の長時間装着(1日20時間以上)が必須です
- 治療計画通りに進めるためには、患者様の意志が重要になります
- 矯正治療後の保定が不十分だと後戻り(元の位置に戻ろうとする動き)をします
- 薬機法対象外の矯正歯科装置のため医薬品副作用被害救済制度の対象外となる場合があります
- 自費診療(保険適用外)となります
ワイヤー矯正の注意事項(リスク・副作用など)
- 治療中は違和感や痛みが起こることがあります
- 症状により、抜歯が必要な場合があります
- 治療中は歯磨きがしにくくなるため、虫歯や歯周病になりやすくなります
- 矯正治療後の保定が不十分だと後戻り(元の位置に戻ろうとする動き)をします
- 自費診療(保険適用外)となります
当サイトの内容、テキスト、画像等の無断転載、複製、複写、盗用を固く禁じます。










