症例詳細
Case detail
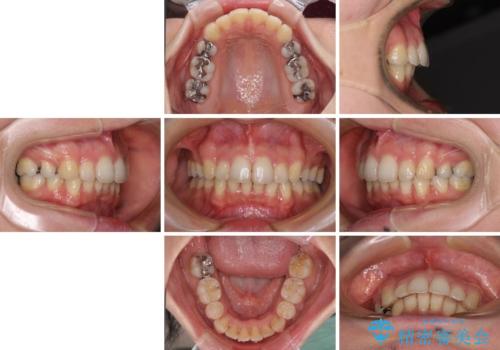
閉じにくい口元 前歯を引っ込める抜歯矯正
治療症例の内容
- 診療科目
- 担当医
- 藤巻太一朗(ドクタープロフィール)
- 患者様
- 20代女性
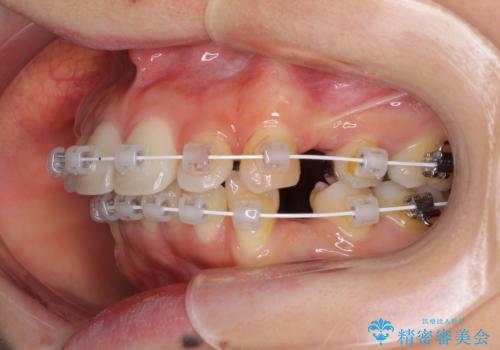
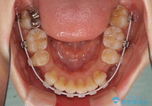
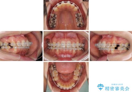
- 矯正装置
- 審美装置
- 治療期間
- 2年8ヶ月
- 治療回数
- 10-30回
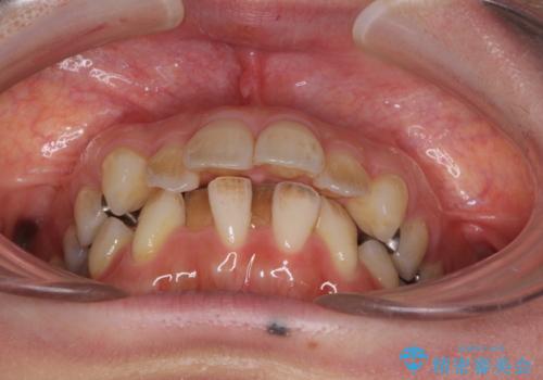
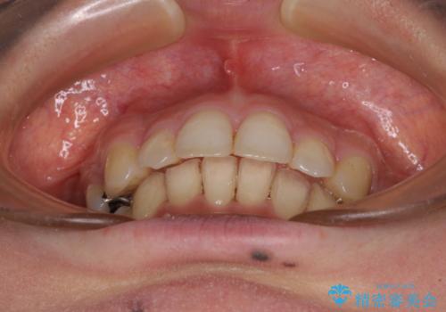
- 治療計画
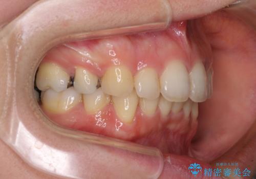
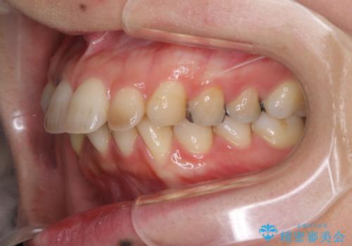
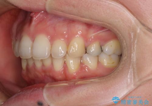
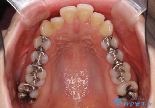
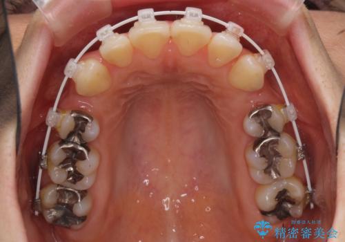
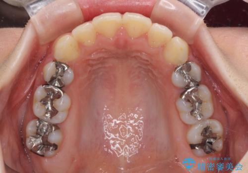
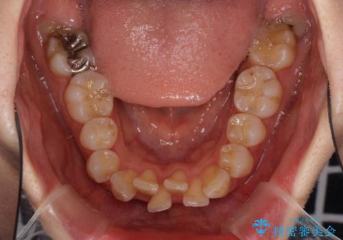
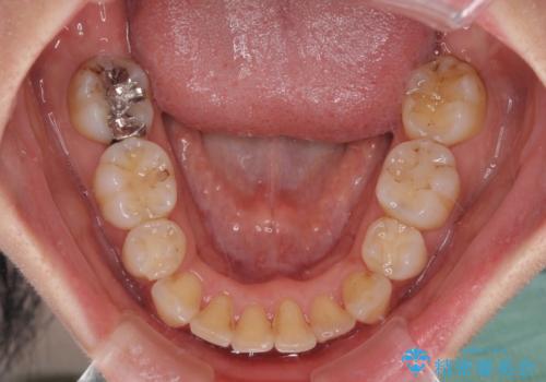
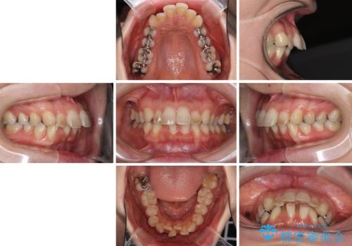
- 上下の出っ歯を気にして来院された患者様です。
口元を積極的に引っ込めるために、上下左右の第一小臼歯を4本抜歯することとしました。
- 費用(概算)
- 治療費の目安: 90万円費用は治療当時の料金となります
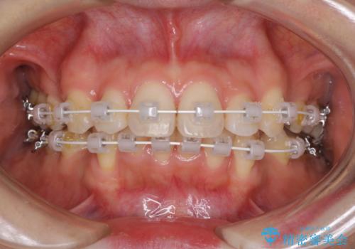
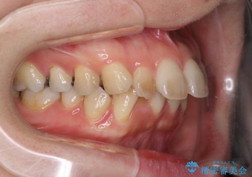
治療について
元々ディープバイトのため、スペースを閉じている期間に上下前歯が接触してしまい、治療期間が想定よりも伸びてしまいました。
ワイヤー矯正の注意事項(リスク・副作用など)
- 治療中は違和感や痛みが起こることがあります
- 症状により、抜歯が必要な場合があります
- 治療中は歯磨きがしにくくなるため、虫歯や歯周病になりやすくなります
- 矯正治療後の保定が不十分だと後戻り(元の位置に戻ろうとする動き)をします
- 自費診療(保険適用外)となります
当サイトの内容、テキスト、画像等の無断転載、複製、複写、盗用を固く禁じます。




























