症例詳細
Case detail
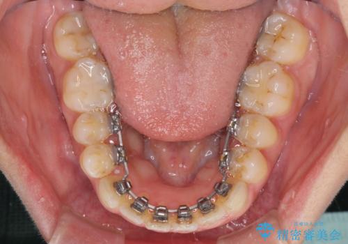
全く目立たないワイヤー矯正 上下リンガル矯正
治療症例の内容
- 診療科目
- 担当医
- 藤巻太一朗(ドクタープロフィール)
- 患者様
- 30代女性
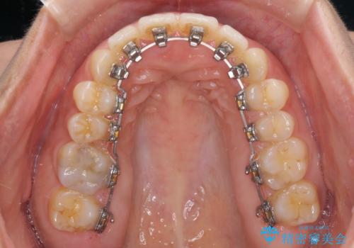
- 矯正装置
- フルリンガル
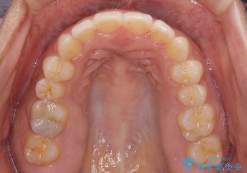
- 治療期間
- 1年10ヶ月
- 治療回数
- 10-30回
- 治療計画
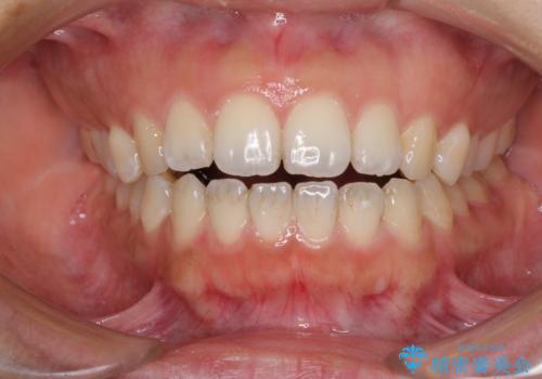
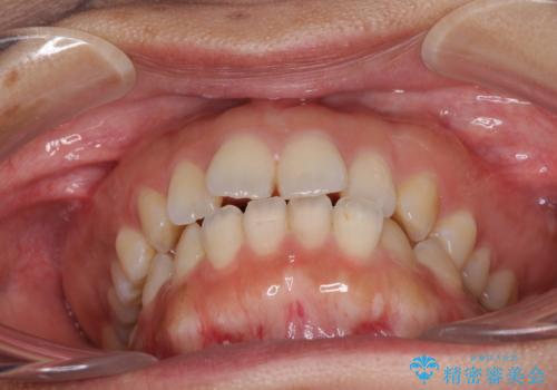
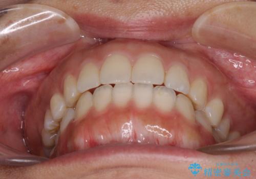
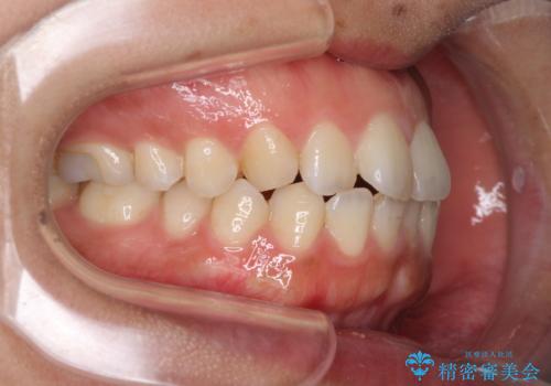
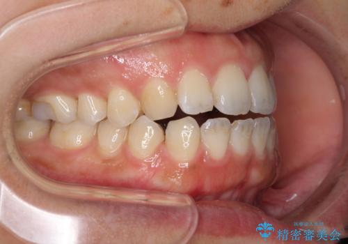
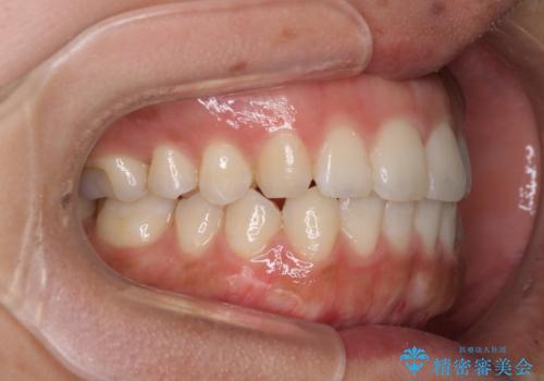
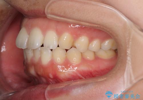
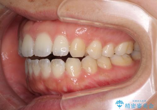
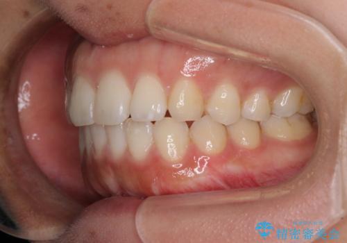
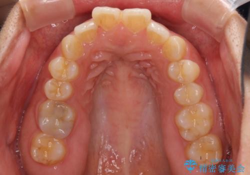
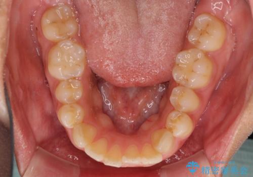
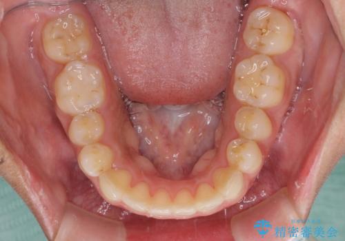
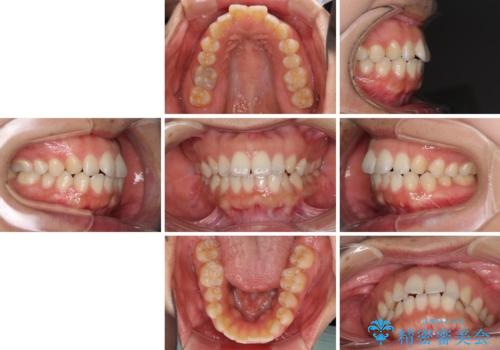
- 上下の前歯のでこぼこを気にして来院された患者様です。
結婚式が近いこともあり、全く目立たない裏側矯正により口元を整えることとしました。
- 費用(概算)
- 治療費の目安: 120万円費用は治療当時の料金となります
治療について
下顎が左側にずれているため、裏側矯正ということもあり咬み合わせを整えるのに時間がかかってしまいました。
ワイヤー矯正の注意事項(リスク・副作用など)
- 治療中は違和感や痛みが起こることがあります
- 症状により、抜歯が必要な場合があります
- 治療中は歯磨きがしにくくなるため、虫歯や歯周病になりやすくなります
- 矯正治療後の保定が不十分だと後戻り(元の位置に戻ろうとする動き)をします
- 自費診療(保険適用外)となります
当サイトの内容、テキスト、画像等の無断転載、複製、複写、盗用を固く禁じます。


























