症例詳細
Case detail
歯周病で抜歯に 奥歯のインプラント治療
治療症例の内容
- 担当医
- 藤巻太一朗(ドクタープロフィール)
- 患者様
- 30代女性
- 治療期間
- 6ヶ月
- 治療回数
- 5-10回
- 治療計画
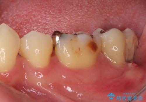
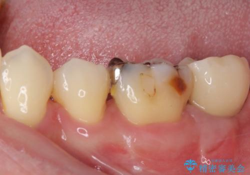
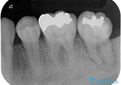
- 左下の奥歯に違和感を感じて来院された患者様です。
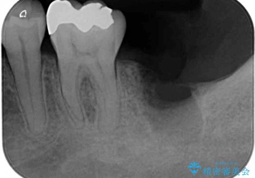
診察をした結果、歯根にまで及んだ虫歯と歯周病による著しい骨欠損が認められ、抜歯をせざるを得ない状況でした。
治療期間を短縮できるだけでなく、世界中で高い信頼を得ているストローマンインプラントを用いて治療を行うこととしました。
- 費用(概算)
- 治療費の目安: 35万円費用は治療当時の料金となります
治療について
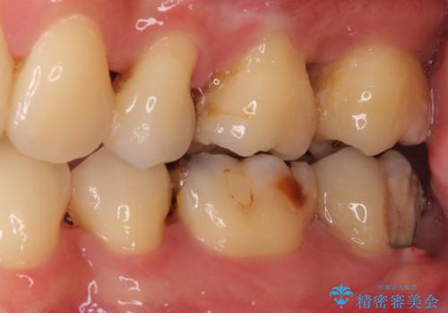
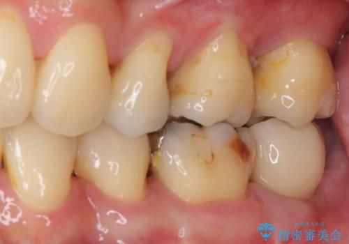
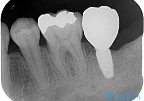
治療期間を短縮することが可能となった、ストローマン社のSLActiveというインプラントを使用し、抜歯からクラウンが装着されるまで6ヶ月という短期間で終えることができました。
咬み心地はもちろん、清掃性もご自分の歯とほとんど変わらない状態となり、患者様には大変満足していただきました。
インプラント治療の注意事項(リスク・副作用など)
- 外科手術のため、術後に痛みや腫れ、違和感を伴います
- メンテナンスを怠ったり喫煙により、お口の中に大きな悪影響を及ぼすインプラント周囲炎等にかかる可能性があります
- 糖尿病、肝硬変、心臓病等の場合、インプラント治療ができない可能性があります
- 高血圧、貧血・不整脈等の場合、インプラント治療後に治癒不全を招く可能性があります
- 自費診療(保険適用外治療)となります
当サイトの内容、テキスト、画像等の無断転載、複製、複写、盗用を固く禁じます。













