症例詳細
Case detail
奥歯の虫歯 オールセラミッククラウンによる補綴治療
治療症例の内容
- 診療科目
- 治療カテゴリ
- 担当医
- 藤巻太一朗(ドクタープロフィール)
- 患者様
- 40代女性
- 治療期間
- 2ヶ月
- 治療回数
- 2-5回
- 治療計画
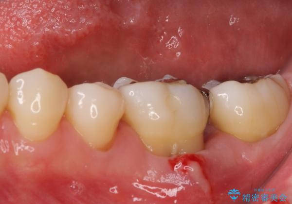
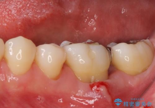
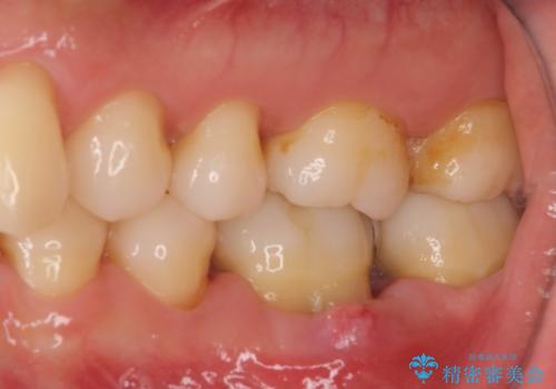
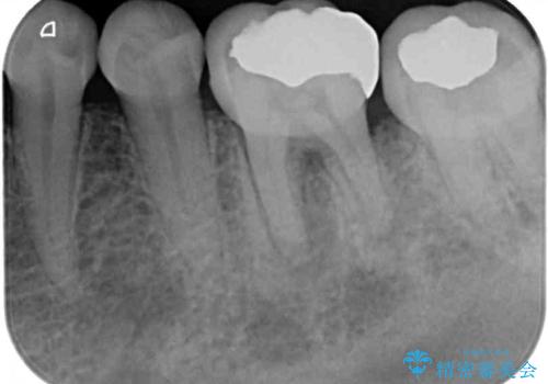
- 左下奥に、咬んだときの痛みを感じて来院された患者様です。
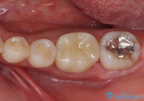
 排膿路が形成されている歯は既に失活しており、根管治療が必要になっていました。
 根管治療などを行った後に、オールセラミッククラウンにて補綴することとしました。
- 費用(概算)
- 治療費の目安: 20万円費用は治療当時の料金となります
治療について
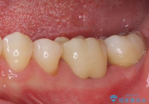
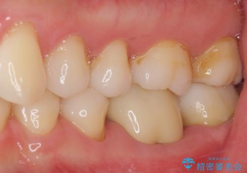
根管治療を終えた後には、今まで気になっていた痛みが消え、快適に日常生活を送れるようになりました。
痛みが取れるとともに、気になっていた大きな銀歯も自然なセラミックとなり、患者様には大変満足していただけました。
セラミック治療の注意事項(リスク・副作用など)
- 天然歯を削ります
- 硬い素材は天然歯を傷つけてしまう場合があります
- かみ合わせや歯ぎしりが強すぎる方はセラミックが割れてしまう可能性があります
- 自費診療(保険適用外治療)となります
当サイトの内容、テキスト、画像等の無断転載、複製、複写、盗用を固く禁じます。








 
                       
                                                          









 
                   
                   
                  