症例詳細
Case detail
強い咬合力に対抗するメタルボンド補綴
治療症例の内容
- 診療科目
- 治療カテゴリ
- 担当医
- 大元洋佑(ドクタープロフィール)
- 患者様
- 50代女性
- 治療期間
- 6ヶ月
- 治療回数
- 2-5回
- 治療計画
- 咬んだ際の違和感、痛みの改善を求めて来院されました。
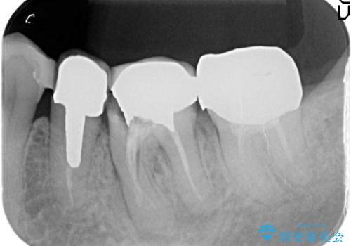
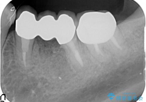
X線写真・視診より歯の破折クラウン下の虫歯再発が認められます。
クラウンの除去・虫歯の除去、根管治療を行ったのち、上顎は強い咬合力に対し破折抵抗性のある咬合面をメタルにしたメタルボンドによる補綴を計画します。
- 費用(概算)
- 70万円(仮歯・ファイバーコア・メタルボンドクラウン×7本分)費用は治療当時の料金となります
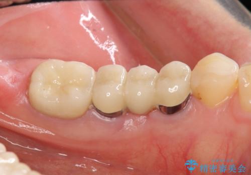
強い咬合力について
噛む力が甚大な場合、補綴物が破折したり場合により支台となる歯が破折してしまうことがあります。
今回は破れにくいセラミック治療としてメタルボンドを選択しました。
外側からは金属色の見えない設計となっています。
セラミック治療の注意事項(リスク・副作用など)
- 天然歯を削ります
- 硬い素材は天然歯を傷つけてしまう場合があります
- かみ合わせや歯ぎしりが強すぎる方はセラミックが割れてしまう可能性があります
- 自費診療(保険適用外治療)となります
当サイトの内容、テキスト、画像等の無断転載、複製、複写、盗用を固く禁じます。












