症例詳細
Case detail
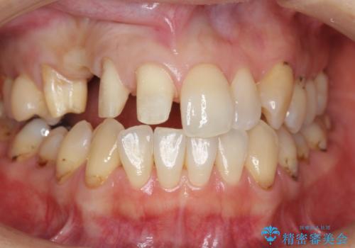
前歯の虫歯 とりあえずつけていた歯がとれた
治療症例の内容
- 診療科目
- 治療カテゴリ
- 担当医
- 井上季実子(ドクタープロフィール)
- 患者様
- 30代女性
- 治療期間
- 4ヶ月
- 治療計画
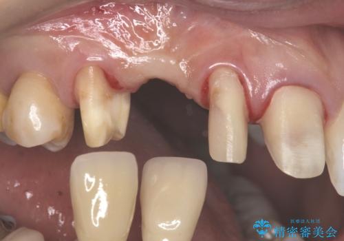
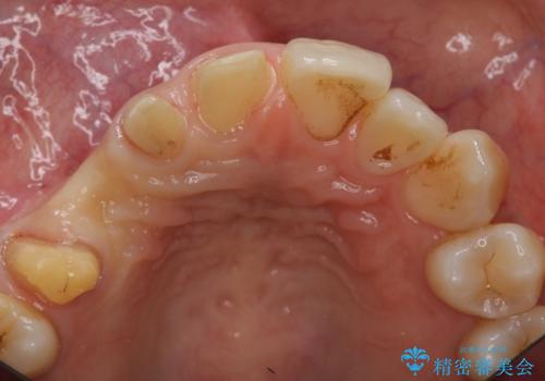
- 右上の歯はもともとなかったが、ブリッジにするのが嫌でプラスチックの歯を応急的に接着剤でつけていたのがとれてしまったとのことでした。
接着剤で留めてある周りが、虫歯になってしまっていました。
しっかり虫歯を取ったうえで、清掃性の高いブリッジにしていくことをおすすめしました。
初めはブリッジにすることに抵抗があったようですが、とりあえずでくっつける汚い状態ですと虫歯のリスクが非常に高いことをご説明しました。
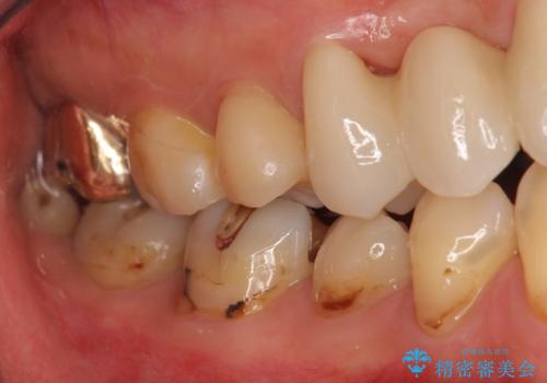
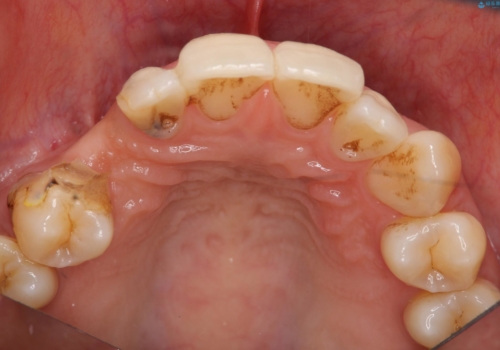
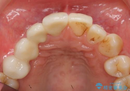
右上④3②①ブリッジの設計としました。
結果、非常に満足していただきました。
- 費用(概算)
- 44万円 (ジルコニアクラウンスタンダード 10万円×4本 仮歯1万円×4本)費用は治療当時の料金となります
治療について
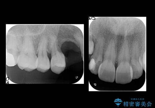
右上2番単独の支台歯では不足のため、右上12とも支台歯にしています。
セラミック治療の注意事項(リスク・副作用など)
- 天然歯を削ります
- 硬い素材は天然歯を傷つけてしまう場合があります
- かみ合わせや歯ぎしりが強すぎる方はセラミックが割れてしまう可能性があります
- 自費診療(保険適用外治療)となります
当サイトの内容、テキスト、画像等の無断転載、複製、複写、盗用を固く禁じます。











