症例詳細
Case detail
ワイヤーによる抜歯矯正でガタガタと深いかみ合わせの改善
治療症例の内容
- 担当医
- 患者様
- 30代女性
- 矯正装置
- 審美装置
- 治療期間
- 3年1ヶ月
- 治療計画
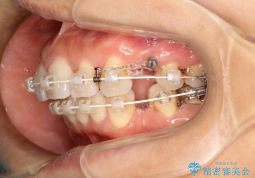
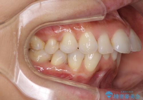
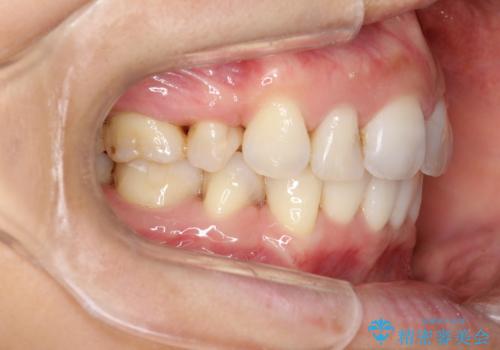
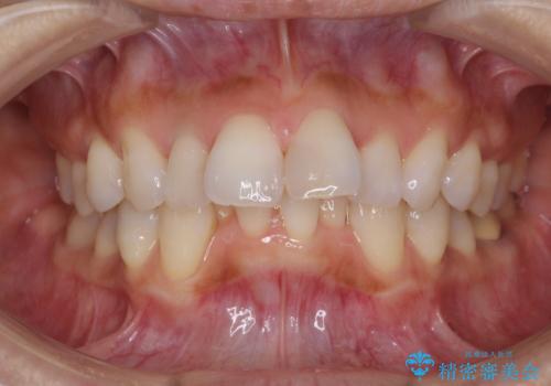
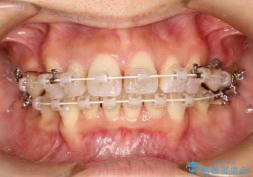
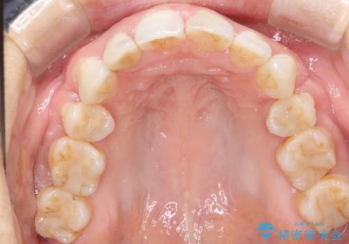
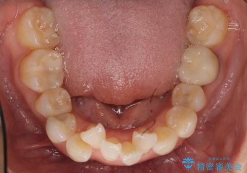
- 上下の歯のがたつきを主訴に来院されました。
上下の前歯の叢生とかみ合わせが深い過蓋咬合という状態でした。
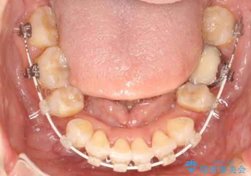
上下左右の歯を1本ずつ抜歯して、ワイヤーにて矯正を行いました。
- 費用(概算)
- 約100万円費用は治療当時の料金となります
治療について
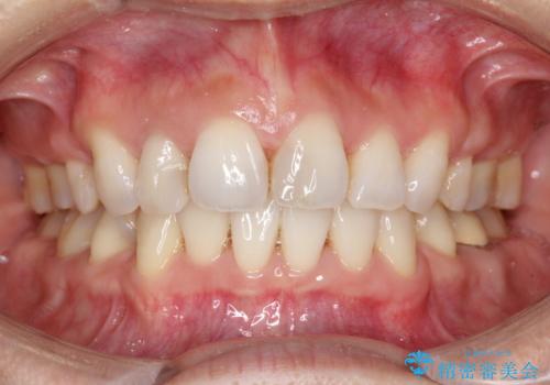
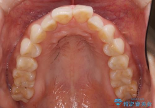
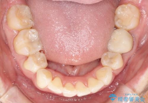
かみ合わせの深さを改善するのに時間がかかり、予定よりも治療期間が長期化しましたが、整った歯並びへ改善することができました。
ワイヤー矯正の注意事項(リスク・副作用など)
- 治療中は違和感や痛みが起こることがあります
- 症状により、抜歯が必要な場合があります
- 治療中は歯磨きがしにくくなるため、虫歯や歯周病になりやすくなります
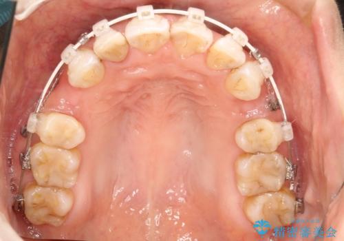
- 矯正治療後の保定が不十分だと後戻り(元の位置に戻ろうとする動き)をします
- 自費診療(保険適用外)となります
当サイトの内容、テキスト、画像等の無断転載、複製、複写、盗用を固く禁じます。















