症例詳細
Case detail
奥歯が割れてしまった インプラントでかめるように 全体的な治療も
- 患者様
- 70代男性
- 治療期間
- 1年6ヶ月
- 治療回数
- 5-10回
- 治療計画
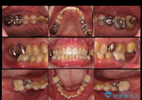
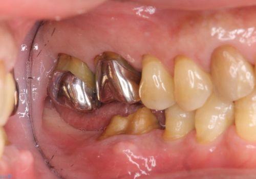
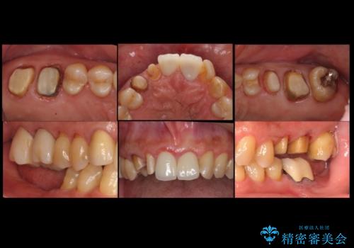
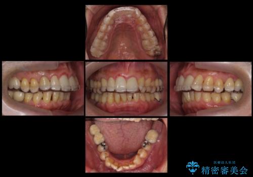
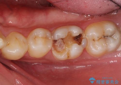
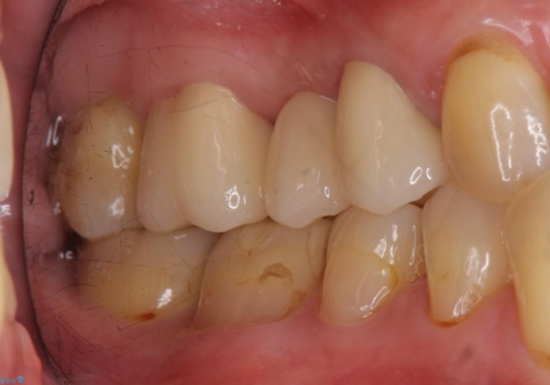
- 右下の奥歯が割れてしまい、抜歯を行いました。
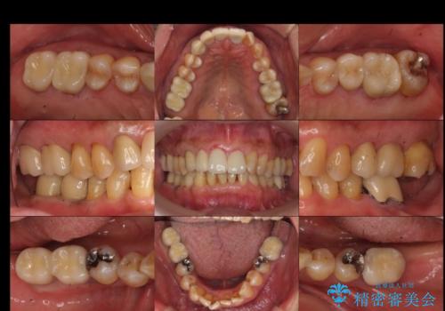
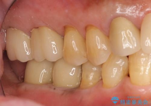
ブリッジにできない位置であったため、インプラントでかめるようにしました。
また、向かい合う上の歯が挺出(伸び出してしまうこと)しており、インプラントを入れることが難しかったため、長さを短くかぶせ治しました。
また、上顎前歯以外の根の治療のやり直しを行いました。
上顎前歯は他院で根管治療とセラミックを行なったとのことで、歯肉縁下形成のため、歯肉の腫れが治りにくい状況でしたがやり直しは希望されませんでした。
左下に関しては、経過観察を行い、歯が割れたりした場合にインプラントを考えることになりました。
- 費用(概算)
- 約250万円 右下67 インプラント2本(ストローマンインプラント20万円、カスタムアバットメント10万円、シリンダーTeC 2万円 以上2本、マイナーGBR5万円) 再根管治療 (前歯 9万円x1、小臼歯11万円x1 大臼歯:専門医による再治療 15万円x3本) ジルコニアクラウン(右上2367、右下I6I7、左上56 10万円x8 )仮歯 1万円x8本 ファイバーコア 2万円x5 セラミックインレー(左上5) 7万円x1 フラットタイプナイトガード 3万円費用は治療当時の料金となります
治療について
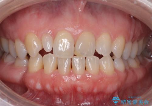
セラミックが欠けるのを防ぐため、また、左上7は対合歯がなく挺出してしまうのを防ぐため、ナイトガードを就寝時に装着していただいています。
大臼歯の再根管治療は、銀座院院長の林先生にお願いしています。
セラミック治療の注意事項(リスク・副作用など)
- 天然歯を削ります
- 硬い素材は天然歯を傷つけてしまう場合があります
- かみ合わせや歯ぎしりが強すぎる方はセラミックが割れてしまう可能性があります
- 自費診療(保険適用外治療)となります
インプラント治療の注意事項(リスク・副作用など)
- 外科手術のため、術後に痛みや腫れ、違和感を伴います
- メンテナンスを怠ったり喫煙により、お口の中に大きな悪影響を及ぼすインプラント周囲炎等にかかる可能性があります
- 糖尿病、肝硬変、心臓病等の場合、インプラント治療ができない可能性があります
- 高血圧、貧血・不整脈等の場合、インプラント治療後に治癒不全を招く可能性があります
- 自費診療(保険適用外治療)となります
当サイトの内容、テキスト、画像等の無断転載、複製、複写、盗用を固く禁じます。
















