症例詳細
Case detail
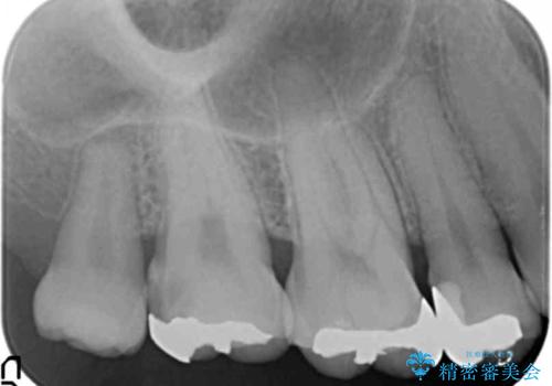
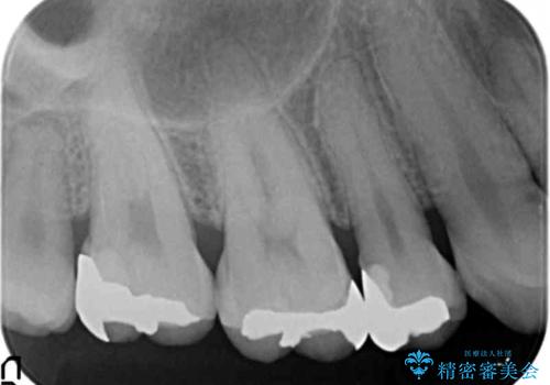
食べ物が詰まる 親知らずが原因の虫歯再発
治療症例の内容
- 診療科目
- 治療カテゴリ
- 担当医
- 大元洋佑(ドクタープロフィール)
- 患者様
- 30代女性
- 治療期間
- 1ヶ月
- 治療回数
- 2-5回
- 治療計画
- 銀歯と親知らずの間に毎回食べ物が挟まることを自覚していたが、放置した結果虫歯が再発し検診で発覚し治療を行うこととなりました。
原因となる親知らずや周囲の虫歯は、出産後に行う予定です。
- 費用(概算)
- 6万円費用は治療当時の料金となります
ゴールド治療について
上顎大臼歯など目に触れにくく大きな力のかかる部位は、ゴールドによる修復をお勧めすることがあります。
PGA(ゴールド)クラウン、インレーの注意事項(リスク・副作用など)
- インレーおよびクラウンは脱離するリスクがあります
- 形成量はセラミックより少ないですが、歯の形成、修復後に歯に症状が出ることがあります
- 自費診療(保険適用外治療)となります
当サイトの内容、テキスト、画像等の無断転載、複製、複写、盗用を固く禁じます。






