症例詳細
Case detail
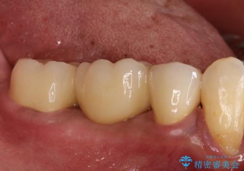
奥歯が痛い。ブリッジによる欠損補綴
治療症例の内容
- 診療科目
- 治療カテゴリ
- 担当医
- 河口智英(ドクタープロフィール)
- 患者様
- 40代女性
- 治療期間
- 3ヶ月
- 治療回数
- 2-5回
- 治療計画
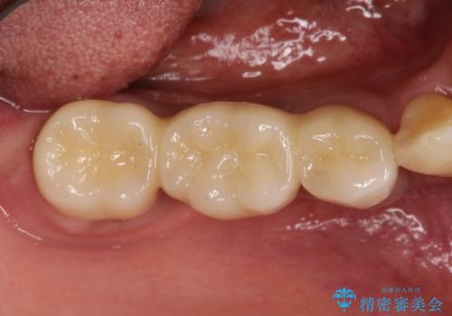
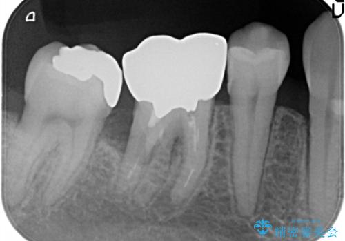
- 奥歯が痛いことを主訴に来院されました。
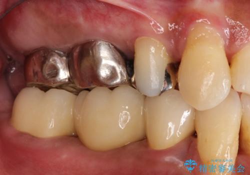
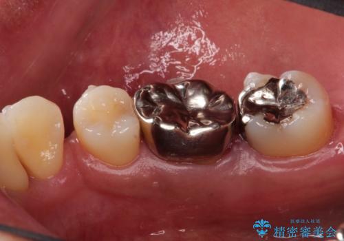
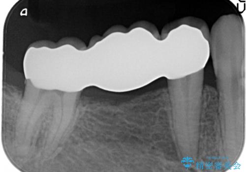
遠心根に歯根破折を認め、保存不可と判断しブリッジにて欠損補綴を行なっております。
- 費用(概算)
- 33万円費用は治療当時の料金となります
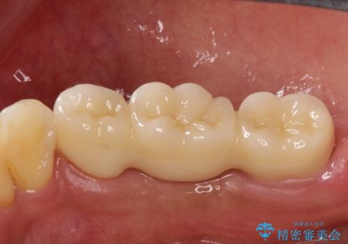
治療について
歯根の縦方向への破折は保存不可となることが多いです。
今回は抜歯後、オールセラミックにて修復を行うことで審美性の高い治療を行うことができました。
セラミック治療の注意事項(リスク・副作用など)
- 天然歯を削ります
- 硬い素材は天然歯を傷つけてしまう場合があります
- かみ合わせや歯ぎしりが強すぎる方はセラミックが割れてしまう可能性があります
- 自費診療(保険適用外治療)となります
当サイトの内容、テキスト、画像等の無断転載、複製、複写、盗用を固く禁じます。











