症例詳細
Case detail
隙間が気になる。審美性の高いインプラント治療
治療症例の内容
- 担当医
 - 河口智英(ドクタープロフィール)
 
- 患者様
 - 20代女性
 
- 治療期間
 - 6ヶ月
 
- 治療回数
 - 5-10回
 
- 治療計画
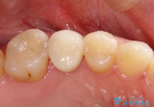
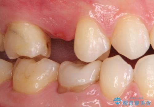
 - 欠損歯があり、隙間があることを主訴に来院されました。
術前に矯正治療(インビザライン)を行いインプラントにて欠損補綴を行なっております。 
- 費用(概算)
 - 40万円(矯正費用は別途)費用は治療当時の料金となります
 
治療について
術前に矯正治療を行うことで適正な位置でのインプラント治療が行えました。
セラミック治療の注意事項(リスク・副作用など)
- 天然歯を削ります
 - 硬い素材は天然歯を傷つけてしまう場合があります
 - かみ合わせや歯ぎしりが強すぎる方はセラミックが割れてしまう可能性があります
 - 自費診療(保険適用外治療)となります
 
インプラント治療の注意事項(リスク・副作用など)
- 外科手術のため、術後に痛みや腫れ、違和感を伴います
 - メンテナンスを怠ったり喫煙により、お口の中に大きな悪影響を及ぼすインプラント周囲炎等にかかる可能性があります
 - 糖尿病、肝硬変、心臓病等の場合、インプラント治療ができない可能性があります
 - 高血圧、貧血・不整脈等の場合、インプラント治療後に治癒不全を招く可能性があります
 - 自費診療(保険適用外治療)となります
 
当サイトの内容、テキスト、画像等の無断転載、複製、複写、盗用を固く禁じます。

                      
                                                          










